[Ortho] Остеосинтез н/3 предплечья (продолжение от 27.07.15)

Молодой специалист orthoforum на weborto.net
Вт Сен 15 00:16:12 YEKST 2015


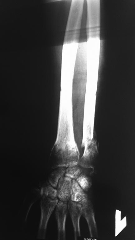
Через 8 недель, после удаления конструкции
Молодой специалист

----------- следущая часть -----------
Вложение не в текстовом формате было извлечено…
Имя     : image5.jpg
Тип     : image/jpeg
Размер  : 201344 байтов
Описание: отсутствует
Url     : http://weborto.net:8080/pipermail/ortho/attachments/20150915/60d30465/attachment-0002.jpg 
----------- следущая часть -----------
Вложение не в текстовом формате было извлечено…
Имя     : image7.jpg
Тип     : image/jpeg
Размер  : 36769 байтов
Описание: отсутствует
Url     : http://weborto.net:8080/pipermail/ortho/attachments/20150915/60d30465/attachment-0003.jpg 


Подробная информация о списке рассылки Ortho