[Ortho] Ваша тактика

Тарас Федорович orthoforum на weborto.net
Сб Сен 19 05:15:14 YEKST 2015


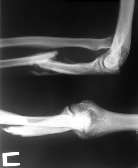
Пациентка из неблагополучной семьи получила травму в мае 2015 года , в 
следствии удара тупым предметом в область в/3 предплечья, за мед помощью 
не обращалась. К нам обратилась через 4 месяца. По данным Ro - 
застарелый вывих головки лучевой кости з неверно консоледирующимся 
переломом в/з локтевой кости. Ваша тактика лечения. Прилагаю снимки. 
Добавлю, что клинически функция локтевого сустава нарушена, сгибание 30 
-40 градусов, предплечье деформировано, болезненно при пальпации в 
проксимальном отделе .


Тарас Федорович


----------- следущая часть -----------
Вложение не в текстовом формате было извлечено…
Имя     : e5yuAi2XqMY.jpg
Тип     : image/jpeg
Размер  : 33784 байтов
Описание: отсутствует
Url     : http://weborto.net:8080/pipermail/ortho/attachments/20150919/e2733ae3/attachment-0001.jpg 


Подробная информация о списке рассылки Ortho