[Ortho]

orthoforum weborto.net
23 00:10:13 YEKST 2015


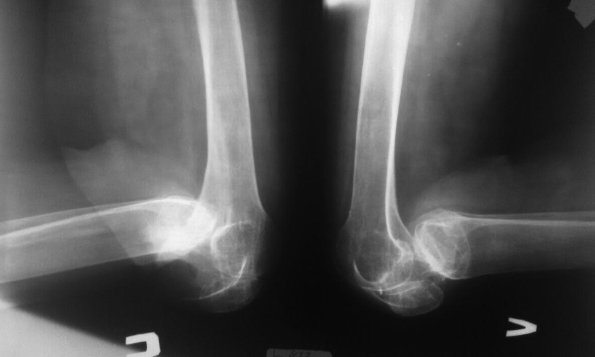
Девочка 16 лет, 4 года назад по поводу ожога пламенем тяжелой степени 
обеих нижних конечностей она лечилась в сельской больнице, несколько 
этапов аутодермопластики, и в настоящее время обратилась в отделение 
травматологии и ортопедии за помощью.	
	
Если честно, такую категорию больных никто давно не помнит, 4 года как 
она не ходит, материальная сторона больной, естественно, не может 
позволить ей куда то выехать и лечиться. Наш диагноз: Двухсторонняя 
постожоговая контрактура коленных суставов, вывих голеней кзади.
Фото и рентген снимки прилагаются. Мы думали о метаплазии по Вредену, 
Капсулотомии по Вильсону, Резекции суставных поверхностей и артродезе, 
можно в аппарате Илизарова, но во всех случаях сомнения и вопросы:
Сможем ли одномоментно вывести конечность в более правильное положение, 
не рановато ли с артродезирванием в 16 лет? Буду рад и признателен 
советам форума
Спасибо.
С уважением, Шухрат
ГКБ№  1 г.Худжанд, Таджикистан


-----------   -----------
Вложение не в текстовом формате было извлечено…
Имя     : IMG_2277.JPG
Тип     : image/jpeg
Размер  : 97625 байтов
Описание: отсутствует
Url     : http://weborto.net:8080/pipermail/ortho/attachments/20150922/e0e5cbd0/attachment-0002.jpeg 
-----------   -----------
Вложение не в текстовом формате было извлечено…
Имя     : IMG_2278.JPG
Тип     : image/jpeg
Размер  : 59961 байтов
Описание: отсутствует
Url     : http://weborto.net:8080/pipermail/ortho/attachments/20150922/e0e5cbd0/attachment-0003.jpeg 


Ortho