[Ortho] Перелом большеберцовой кости. 6 месяцев.

Никита orthoforum на weborto.net
Вс Сен 27 02:02:02 YEKST 2015


Здравствуйте. Прошу участников форума высказать свое мнение.

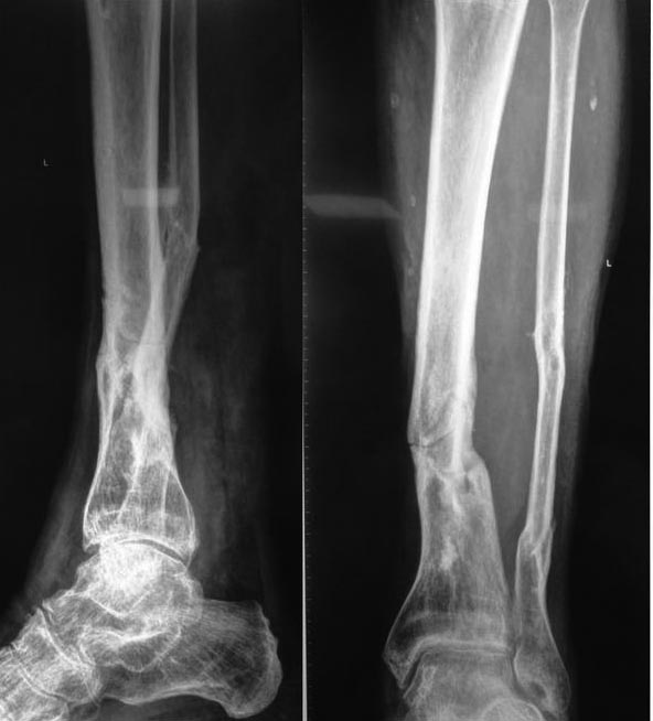
Обратился мужчина 55 лет. В марте этого года получил травму: на ногу 
упало бревно. Проводили гипсовую иммобилизацию. На рентгенограммах, 
выполненных в сентябре, прослеживается линия перелома. На данный момент 
ходит в жестком ортезе и с тростью, болей нет. При ходьбе без ортеза, 
при пальпации области перелома болей также нет.

В анамнезе: 30 лет назад открытый перелом обеих костей этой голени с 
развитием инфекционного осложнения - получал хирургическое лечение. С 
тех пор конечность не беспокоила. Курит. Как трактовать такую картину: 
просто несращение, ложный сустав (? - нет признаков склерозирования канала)?
Какую тактику ведения выбрать: отпустить с полной нагрузкой, - есть 
опасения, что рано или поздно произойдет перелом, и вопрос решится в 
пользу БИОСа сам собой. Выполнить БИОС сейчас, превентивно? Спасибо.
Никита


----------- следущая часть -----------
Вложение не в текстовом формате было извлечено…
Имя     : дМС ПТФПЖПТХНБ.JPG
Тип     : image/jpeg
Размер  : 56836 байтов
Описание: отсутствует
Url     : http://weborto.net:8080/pipermail/ortho/attachments/20150926/d969d26a/attachment-0001.jpeg 


Подробная информация о списке рассылки Ortho