[Ortho] асептический некроз у спортсмена

Djoldas Kuldjanov orthoforum на weborto.net
Пн Апр 18 19:41:35 YEKST 2016


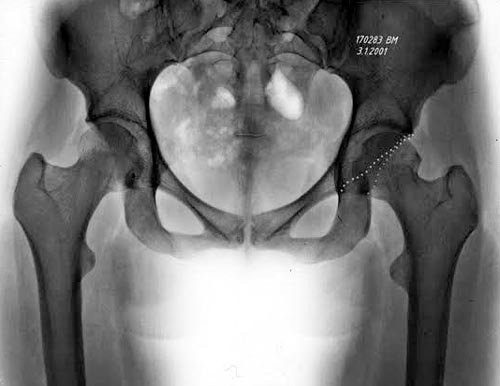
Спасибо за рентген, который подтверждает нашу догадку, но для 
окончательного диагноза, кроме обзорного таза, надо добавить боковой 
false profile снимок,  где можно увидеть шейку и определить степень 
покрытия головки бедра во время нагрузки.

Обычно при внутрикостной кисте болевой симптом не проявляется, но 
капсула и лабральное кольцо из-за измененной анатомии могут быть 
причиной боли! Хроническая травма на шейке образует характерный бугор, 
меняется центр ротации, и во время нагрузки бугор выталкивает головку из 
вертлужной впадины. Это приводит к деламинации хряща, что не всегда 
определяется на рентген снимке. Поэтому следующим методом исследования 
становится МРТ с гадолинием, потому что другие исследования не покажут 
состояние лабриум и хряща!

Кстати, с вопросами диагностики и лечения Hip Impingement более подробно 
можно будет ознакомиться на конференции в Казани 13-14 мая, где мы с 
моим резидентом Геннадий Бусель запланировали выступить, так что Welcome!

Здесь представлены рентген, боковой, МРТ и клинические снимки 
деламинации хряща одного того же пациента.

Djoldas Kuldjanov


----------- следущая часть -----------
Вложение не в текстовом формате было извлечено…
Имя     : Clinical pictures de-lamination.jpg
Тип     : image/jpeg
Размер  : 73376 байтов
Описание: отсутствует
Url     : http://weborto.net:8080/pipermail/ortho/attachments/20160418/78e1d55d/attachment-0005.jpg 
----------- следущая часть -----------
Вложение не в текстовом формате было извлечено…
Имя     : False Profile.jpg
Тип     : image/jpeg
Размер  : 63587 байтов
Описание: отсутствует
Url     : http://weborto.net:8080/pipermail/ortho/attachments/20160418/78e1d55d/attachment-0006.jpg 
----------- следущая часть -----------
Вложение не в текстовом формате было извлечено…
Имя     : Hip Impingement MRI.jpg
Тип     : image/jpeg
Размер  : 38764 байтов
Описание: отсутствует
Url     : http://weborto.net:8080/pipermail/ortho/attachments/20160418/78e1d55d/attachment-0007.jpg 
----------- следущая часть -----------
Вложение не в текстовом формате было извлечено…
Имя     : Hip Impingement Xray 1.jpg
Тип     : image/jpeg
Размер  : 38634 байтов
Описание: отсутствует
Url     : http://weborto.net:8080/pipermail/ortho/attachments/20160418/78e1d55d/attachment-0008.jpg 
----------- следущая часть -----------
Вложение не в текстовом формате было извлечено…
Имя     : Hip Impingement Xray lateral.jpg
Тип     : image/jpeg
Размер  : 25513 байтов
Описание: отсутствует
Url     : http://weborto.net:8080/pipermail/ortho/attachments/20160418/78e1d55d/attachment-0009.jpg 


Подробная информация о списке рассылки Ortho