[Ortho] Перелом хир шейки плеча

Ислам orthoforum на weborto.net
Пн Апр 25 19:18:52 YEKST 2016


Здравствуйте, коллеги

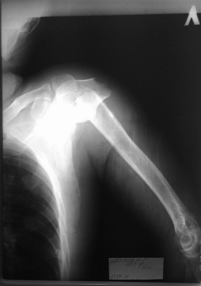
Больной х.1953гр поступил 23.04.2016 с диагнозом "закрытый перелом
хирургической шейки плечевой кости 10дневной давности".
Обширная подкожные гематомы в обл. плечевого сустава и шеи, грудной клетки.
Наложена гипсовая повязка на фото.
Планируется опер. лечение с пластиной лист клевера.
Ваша тактика лечение +предложение.
Спасибо
Ислам


----------- следущая часть -----------
Вложение не в текстовом формате было извлечено…
Имя     : IMG-20160423-WA0014.jpg
Тип     : image/jpeg
Размер  : 58763 байтов
Описание: отсутствует
Url     : http://weborto.net:8080/pipermail/ortho/attachments/20160425/638ddaee/attachment-0001.jpg 


Подробная информация о списке рассылки Ortho