[Ortho] Вопрос Бережному С.Ю. и "стоповикам"

Виталий orthoforum на weborto.net
Ср Апр 27 22:33:06 YEKST 2016


Прошу обсудить результаты операции!Всех кто в теме стопы))

Вопрос следующего характера 70-я юбилейная операция на стопах и хирурга 
понесло)))
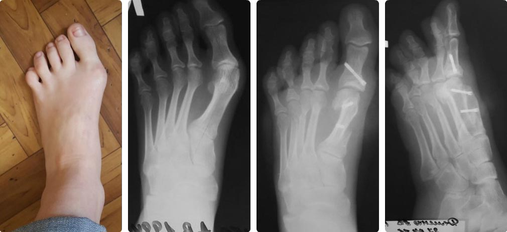
Оперировал девочку с выраженным египетским типом стопы. Год назад ей в 
другой клинике проведено оперативное лечение операция Шеде с рецидивом. 
Диагноз: вальгусная деформация 1 п 2 степени. рецидив. Молоткообразная 
деформация 2,4 пальцев, подлежащий 3 палец. При осмотре омозолелость под 
головкой 1 плюсневой. Омозолеость по внутренней части основной
фаланги, пальпаторно низкое расположение головки 4 плюсневой кости, 
глоловка прямо под кожей. Клинически этот же палец молоткообразный. 2 
палец тоже деформирован, но не как молоток, а не достигается подошвенное 
сгибание, и вершина деформации как бы на уровне
плюснефалангового сустава, плюс отклонен кнаружи. 3 и 4 пальцы как бы 
перекрещены На фото пальцы она расправила, как стала на стопу.

План был такой scarf Akin + tilt up4, остеотомия основания 4 основной 
фаланги. Закрытая тенотомия разгибателей и поверхностного сгибателя
4п. В итоге, изначально, после завершения работы на 1 луче получилась 
хорошая квадратная стопа. После dmmo 4 имхо нужно было заканчивать И еще 
очень сильно плантаризировал плюсневую (чем может грозить?) Зачем- не 
скажу, сам не понял как так распилил.

И это пол беды, далее что то так сказать увлекся радикализмом. Мысль 
изначально была такова- засчет dmmo устранить отклонение малых пальцев, 
и, учитывая, что хоть на 3 ей плюсневой и нет деформации, по снимкам она 
длинновата В итоге выполнил остетомии dmoo 2,3,4 плюсневых. Тенотомии 
2,3,4 разгибателей. Остетотомию основной фаланги 4 пальца Итог- та же 
египетская стопа только с ровным пальцем((((! Чем может грозить? Давайте 
обсудим !
Виталий



----------- следущая часть -----------
Вложение не в текстовом формате было извлечено…
Имя     : collage_photocat copy.jpg
Тип     : image/jpeg
Размер  : 62542 байтов
Описание: отсутствует
Url     : http://weborto.net:8080/pipermail/ortho/attachments/20160427/41a88eb2/attachment-0001.jpg 


Подробная информация о списке рассылки Ortho