[Ortho] Стопа

Андрей orthoforum на weborto.net
Чт Авг 4 17:53:11 YEKST 2016


Добрый день, уважаемые коллеги!

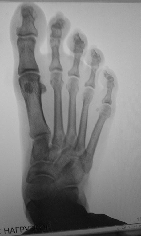
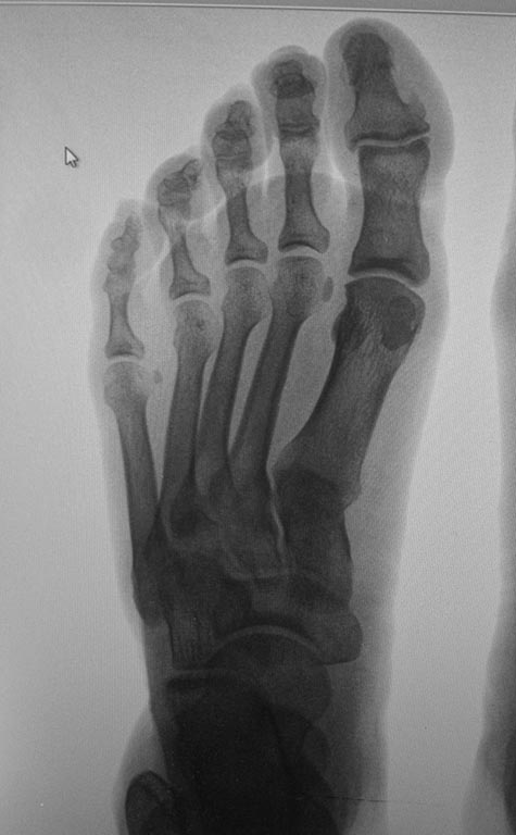
Обратилась женщина с жалобами на выраженную боль, натоптыши в области 
проксимальных межфаланговых суставов V пальцев стоп.	
				
У больной имеется деформация Тейлора ( угол М4М5 11.5 с двух сторон под 
нагрузкой). В области пятого плюснефалангового сустава деформация. Боли, 
гиперемии нет.
Достаточно ли в данном случае остеотомии пятой плюсневой кости с 
нормализацией угла М4М5 и укорочением?
Андрей

----------- следущая часть -----------
Вложение не в текстовом формате было извлечено…
Имя     : IMG_20160730_150822.jpg
Тип     : image/jpeg
Размер  : 40445 байтов
Описание: отсутствует
Url     : http://weborto.net:8080/pipermail/ortho/attachments/20160804/add6579f/attachment-0005.jpg 
----------- следущая часть -----------
Вложение не в текстовом формате было извлечено…
Имя     : IMG_20160730_150826.jpg
Тип     : image/jpeg
Размер  : 46060 байтов
Описание: отсутствует
Url     : http://weborto.net:8080/pipermail/ortho/attachments/20160804/add6579f/attachment-0006.jpg 
----------- следущая часть -----------
Вложение не в текстовом формате было извлечено…
Имя     : IMG_20160730_153946.jpg
Тип     : image/jpeg
Размер  : 50417 байтов
Описание: отсутствует
Url     : http://weborto.net:8080/pipermail/ortho/attachments/20160804/add6579f/attachment-0007.jpg 
----------- следущая часть -----------
Вложение не в текстовом формате было извлечено…
Имя     : IMG_20160730_154014.jpg
Тип     : image/jpeg
Размер  : 57149 байтов
Описание: отсутствует
Url     : http://weborto.net:8080/pipermail/ortho/attachments/20160804/add6579f/attachment-0008.jpg 
----------- следущая часть -----------
Вложение не в текстовом формате было извлечено…
Имя     : IMG_20160730_154023.jpg
Тип     : image/jpeg
Размер  : 38322 байтов
Описание: отсутствует
Url     : http://weborto.net:8080/pipermail/ortho/attachments/20160804/add6579f/attachment-0009.jpg 


Подробная информация о списке рассылки Ortho