[Ortho] Последствия вмешательства на стопе

Николай orthoforum на weborto.net
Пт Авг 19 17:54:19 YEKST 2016


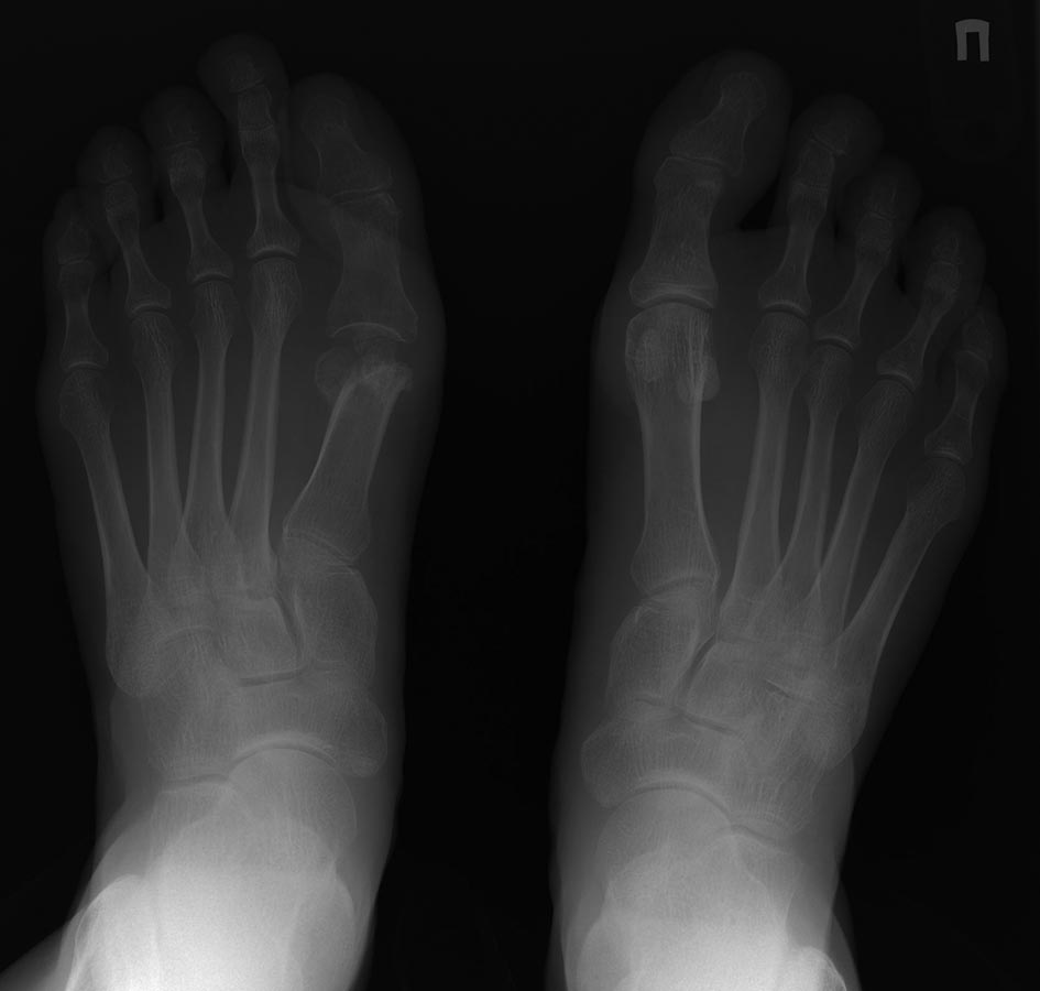
Помогите определиться с тактикой лечения. Пациентка 54 года. Жалобы на 
боли в области 1-го плюснефалангового сустава и под головками 2-й и 3-й 
плюсневых костей при осевой опоре. Из анамнеза: в 2015 году в ЦРБ в 
проекции головки 1-й плюсневой кости было хирургической вмешательство с 
целью лечения вальгусной деформации 1-го пальца. У кого какие мысли по 
этому случаю и какова тактика лечения.
Николай


----------- следущая часть -----------
Вложение не в текстовом формате было извлечено…
Имя     : 1.JPG
Тип     : image/jpeg
Размер  : 46945 байтов
Описание: отсутствует
Url     : http://weborto.net:8080/pipermail/ortho/attachments/20160819/277e7393/attachment.jpe 


Подробная информация о списке рассылки Ortho