[Ortho] Несращение проксимального отдела плеча

Alexander Chelnokov orthoforum на weborto.net
Пн Авг 22 22:14:14 YEKST 2016


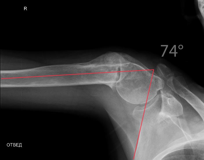
А насчет функции - вот примерчик. До и после коррекции.
Alexander Chelnokov


----------- следущая часть -----------
Вложение не в текстовом формате было извлечено…
Имя     : 1.jpg
Тип     : image/jpeg
Размер  : 44393 байтов
Описание: отсутствует
Url     : http://weborto.net:8080/pipermail/ortho/attachments/20160822/7e0a9570/attachment-0002.jpg 
----------- следущая часть -----------
Вложение не в текстовом формате было извлечено…
Имя     : 2.jpg
Тип     : image/jpeg
Размер  : 65181 байтов
Описание: отсутствует
Url     : http://weborto.net:8080/pipermail/ortho/attachments/20160822/7e0a9570/attachment-0003.jpg 


Подробная информация о списке рассылки Ortho