[Ortho] Длинные 4 пальцы.

АВИ orthoforum на weborto.net
Вт Авг 30 11:32:48 YEKST 2016


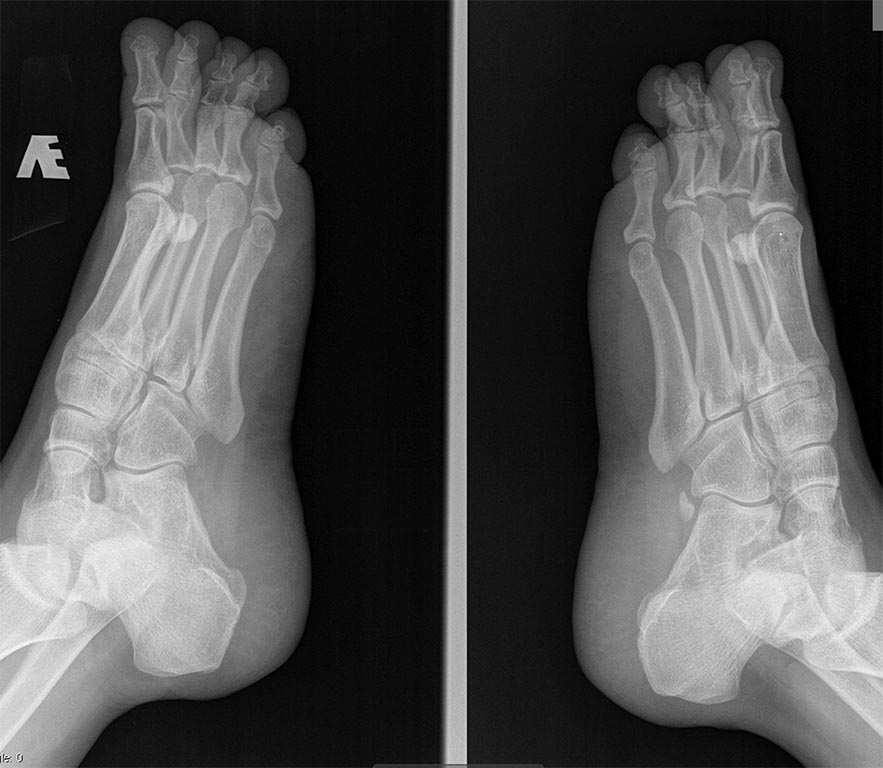
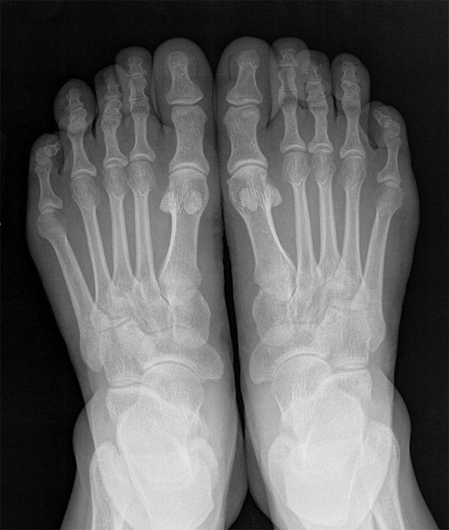
Пациентка 40 лет, жалобы на длинные 4 пальцы обеих стоп, трудности с 
подбором обуви, чисто косметический дефект, болей натоптышей нет. За 
счет чего лучше сделать укорочение, плюсневой кости и основной фаланги 
(если фаланга чем фиксировать).
АВИ


----------- следущая часть -----------
Вложение не в текстовом формате было извлечено…
Имя     : 1.jpg
Тип     : image/jpeg
Размер  : 108309 байтов
Описание: отсутствует
Url     : http://weborto.net:8080/pipermail/ortho/attachments/20160830/df193468/attachment-0003.jpg 
----------- следущая часть -----------
Вложение не в текстовом формате было извлечено…
Имя     : 2.jpg
Тип     : image/jpeg
Размер  : 79945 байтов
Описание: отсутствует
Url     : http://weborto.net:8080/pipermail/ortho/attachments/20160830/df193468/attachment-0004.jpg 
----------- следущая часть -----------
Вложение не в текстовом формате было извлечено…
Имя     : 3.jpg
Тип     : image/jpeg
Размер  : 93081 байтов
Описание: отсутствует
Url     : http://weborto.net:8080/pipermail/ortho/attachments/20160830/df193468/attachment-0005.jpg 


Подробная информация о списке рассылки Ortho