[Ortho] Перелом лодыжек в сочетании с контрактурой 3-главой мышцы

Бережной Сергей orthoforum на weborto.net
Сб Дек 10 20:34:05 YEKT 2016


Уважаемые коллеги! Хотелось бы услышать мнения относительно тактики 
лечения в представленном случае.

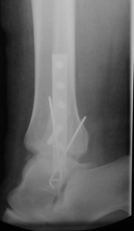
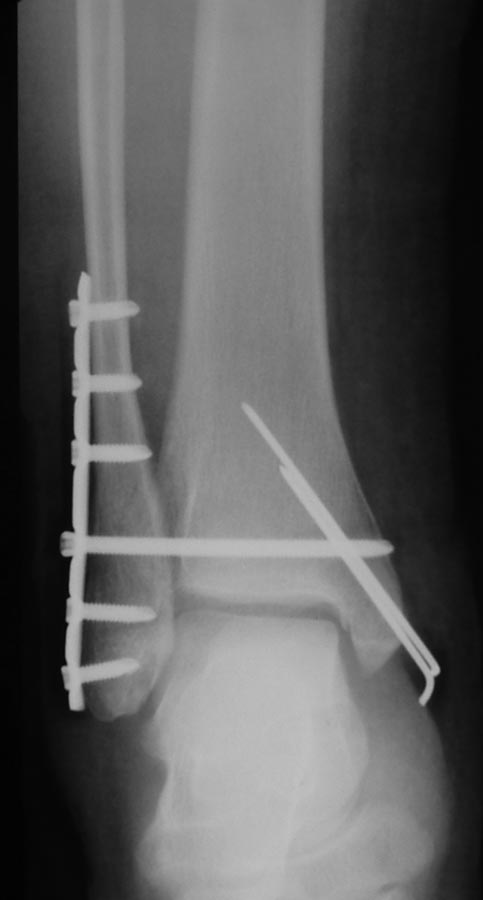
Девушка 30 лет была прооперирована через несколько часов после травмы 
(до- и послеоперационные снимки представлены). До операции обращали на 
себя внимание выраженный дефицит тыльного сгибания другой стопы и 
обширные натоптыши под головками центральных плюсневых костей на обеих 
стопах. При сгибании коленного сустава сгибание со значительным
усилием в голеностопном суставе на здоровой стопе едва достигало 90 гр. 
Такой же объем движений был выявлен и на операционном столе на 
травмированной ноге после выполненияостеосинтеза. Раньше, несмотря на 
наличие натоптышей, стопы не болели. К выписке, на четвертые сутки, 
пациентка могла ходить с опорой на всю стопу в обуви с приподнятой на 4 
см пяткой.

Вопрос: стоит ли оперировать пациентку по поводу контрактуры 3-главой 
мышцы и если да, то когда? При переходе к ходьбе с полной нагрузкой на 
стопу (5-6 недель после операции), вместе с удалением синдесмозного 
винта (8-10 недель) или позже, в случае, если усилится контрактура или 
появятся боли в стопе? Еще в приложении небольшая статья про контрактуру
гастрокнемиус. На меня в ней самое большое впечатление произвела 
скромность авторов, раз 5 или 6 повторивших, что это самое 
многочисленное по количеству измерений исследование из тех, которые им 
удалось найти.

Бережной Сергей



----------- следущая часть -----------
Вложение не в текстовом формате было извлечено…
Имя     : article.pdf
Тип     : application/pdf
Размер  : 343887 байтов
Описание: отсутствует
Url     : http://weborto.net:8080/pipermail/ortho/attachments/20161210/4791b360/attachment-0001.pdf 
----------- следущая часть -----------
Вложение не в текстовом формате было извлечено…
Имя     : P1170749.JPG
Тип     : image/jpeg
Размер  : 41179 байтов
Описание: отсутствует
Url     : http://weborto.net:8080/pipermail/ortho/attachments/20161210/4791b360/attachment-0002.jpeg 
----------- следущая часть -----------
Вложение не в текстовом формате было извлечено…
Имя     : P1170750.JPG
Тип     : image/jpeg
Размер  : 35845 байтов
Описание: отсутствует
Url     : http://weborto.net:8080/pipermail/ortho/attachments/20161210/4791b360/attachment-0003.jpeg 


Подробная информация о списке рассылки Ortho