[Ortho] Псевдартроз tibia с варусной деформацией

Vitaly Gudkov orthoforum на weborto.net
Ср Дек 14 02:58:16 YEKT 2016


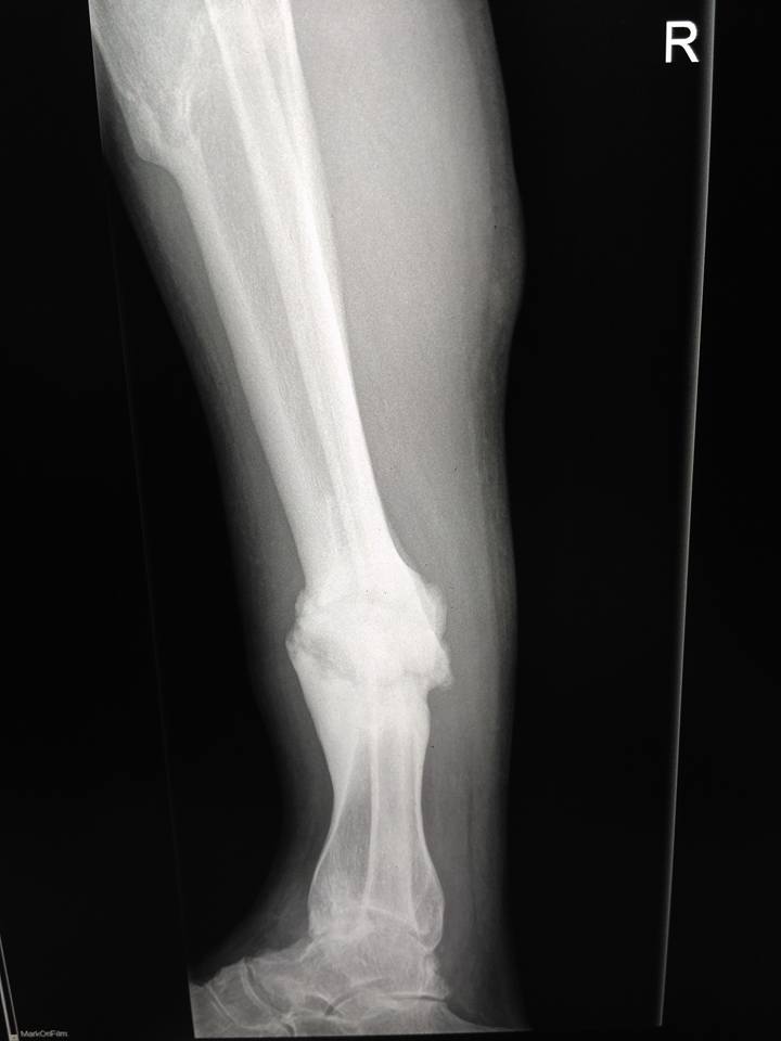
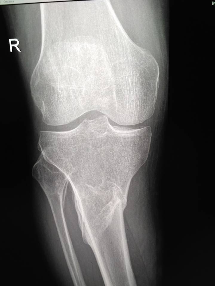
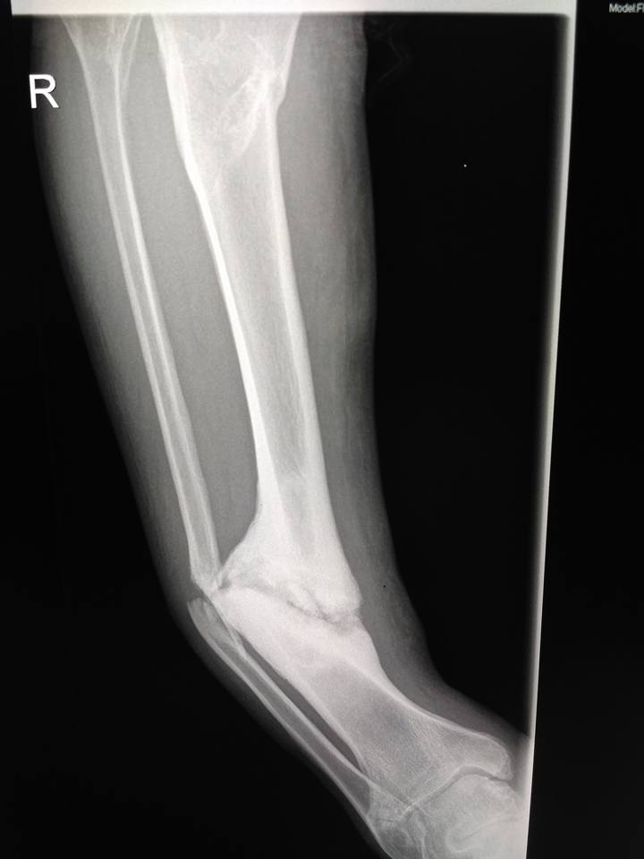
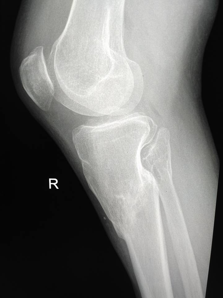
Пациент мужчина 40 лет. Около 2-х лет назад травма. Лечили со слов 
пациента гипсом, не было страховки, прописки и все было отягощено 
хр.алкоголизмом.


Сейчас пациент встал так сказать на путь истинный, не пьет больше года, 
выправил документы и хочет прямую ногу.

В области перелома в нижней трети подвижности практически нет, нога опорная.
Коллеги, какие мнения? Вопрос, стоит ли попытаться одномоментно 
исправить ситуацию стержнем или растянуть сразу не удастся? Стоит ли 
делать коррекцию в верхней трети?
Vitaly Gudkov


----------- следущая часть -----------
Вложение не в текстовом формате было извлечено…
Имя     : 1.jpg
Тип     : image/jpeg
Размер  : 35726 байтов
Описание: отсутствует
Url     : http://weborto.net:8080/pipermail/ortho/attachments/20161213/9a0ab598/attachment-0004.jpg 
----------- следущая часть -----------
Вложение не в текстовом формате было извлечено…
Имя     : 2.jpg
Тип     : image/jpeg
Размер  : 33473 байтов
Описание: отсутствует
Url     : http://weborto.net:8080/pipermail/ortho/attachments/20161213/9a0ab598/attachment-0005.jpg 
----------- следущая часть -----------
Вложение не в текстовом формате было извлечено…
Имя     : 3.jpg
Тип     : image/jpeg
Размер  : 47004 байтов
Описание: отсутствует
Url     : http://weborto.net:8080/pipermail/ortho/attachments/20161213/9a0ab598/attachment-0006.jpg 
----------- следущая часть -----------
Вложение не в текстовом формате было извлечено…
Имя     : 4.jpg
Тип     : image/jpeg
Размер  : 46812 байтов
Описание: отсутствует
Url     : http://weborto.net:8080/pipermail/ortho/attachments/20161213/9a0ab598/attachment-0007.jpg 


Подробная информация о списке рассылки Ortho