[Ortho] Тактика лечения - Остеомиелит?

Бек orthoforum на weborto.net
Ср Дек 14 18:31:35 YEKT 2016


Добрый день, коллеги
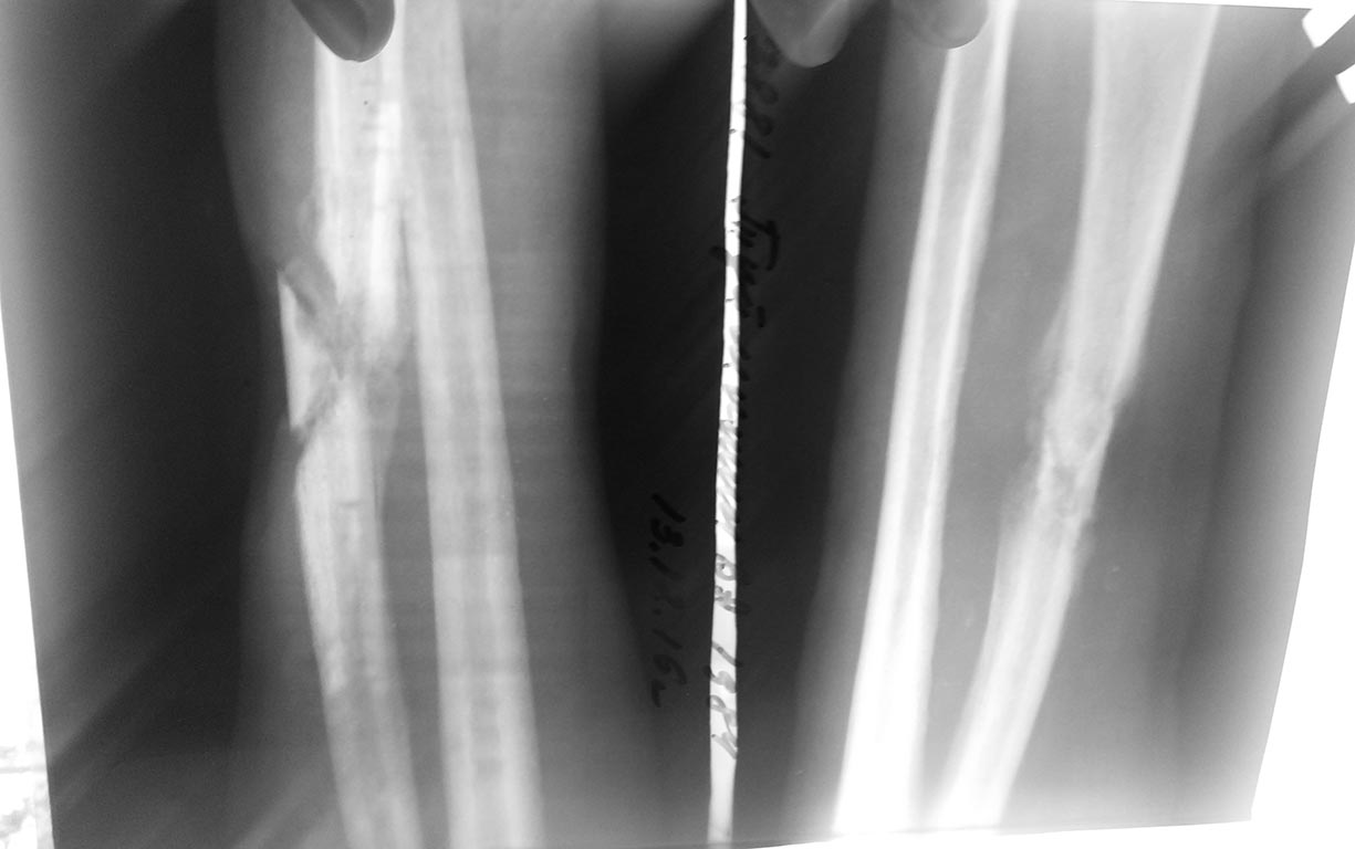
Больной 1984 г.р. 6 месяцев назад получил травму - удар высоковольтным 
током.	

Лечился сам. Обратился в районную больницу и был направлен с диагнозом: 
инфицированная рана с/3 правго предплечья, остеомиелит лучевой кости. 
Дефект кожи размером 3.0х3.0см, гнойное отделяемое.
Тактика лечения?
Резецировать концы отломков далее АВФ?


Бек


----------- следущая часть -----------
Вложение не в текстовом формате было извлечено…
Имя     : 20161214_134741.jpg
Тип     : image/jpeg
Размер  : 75947 байтов
Описание: отсутствует
Url     : http://weborto.net:8080/pipermail/ortho/attachments/20161214/808b9161/attachment-0001.jpg 


Подробная информация о списке рассылки Ortho