[Ortho] Перелом лодыжек в сочетании с контрактурой 3-главой мышцы

Бережной Сергей orthoforum на weborto.net
Пт Дек 16 01:16:16 YEKT 2016


Ну вот, думал, что дискуссия закончена. Придется потерять время на поиск 
аргументов.

> Имплант модный, современный...

Ну какой же это модный имплант? Заурядная треть-трубчатая пластина. С 
2002 или 2003 г. я других и не ставил.

> Медиальная лодыжка чуть не дорепонированв...

Прекрасно знаете, что такой миллиметр для внутренней лодыжки значения не 
имеет и на результате не скажется.

> Сделайте КТ - можете удивиться тому, что найдете.

Когда-то я писал и приводил примеры здесь на форуме, как много полезного 
и меняющего тактику операции можно находить при рутинном КТ исследовании 
переломов лодыжек. Вы же были основным возражавшим (если мне не изменяет 
память). В каждом из нас сидит дух противоречия.

> а где стягивающий винт?

Уверен, что с приходом фиксаторов с угловой стабильностью надобность в 
стягивающих винтах при переломах наружной лодыжки (особенно простых) 
полностью отпала. Уже много лет не ставлю их. Наверное, где-то еще 
работают по старинке.

> Межберцовый винт: в его качестве locking had screw, а не обычный кортикальный? В каких руководствах или статьях есть такая рекомендация?

Вопрос не очень понятно сформулирован. Что не так? Поставлен обычный 
кортикальный не блокированный в пластине винт. Во вложении - фото 
отрывка из руководства по внутреннему остеосинтезу АО. В переводе А.В. 
Королева. Как раз там рекомендуется введение обычного 3.5 мм шурупа 
через оба кортикальных слоя большеберцовой кости.

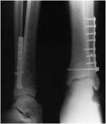
> Этот винт проведен через сам синдесмоз на 1 см проксимальнее сустава - а это в соответствии с какими рекомендациями?

Во вложении рентгенограмма из руководства Кэмпбэлла, издания 2013 г. 
(стр. 2623), демонстрирующая технику фиксации синдесмоза через отверстие 
в пластине. Расстояние от суставной линии там явно не 2 см. тем более не 3.

> Вы больную только на операционном столе увидели? До операции ни натоптавшей, ни чего другого необычного не видели?

По-моему, дооперационный локальный статус описан достаточно подробно, 
включая функциональную пробу.

Ну и так далее...

Интересно, что же еще далее могло быть? Все, что можно перечислить 
оказалось не так. Неужели не все?






Бережной Сергей

----------- следущая часть -----------
Вложение не в текстовом формате было извлечено…
Имя     : image001.jpg
Тип     : image/jpeg
Размер  : 240655 байтов
Описание: отсутствует
Url     : http://weborto.net:8080/pipermail/ortho/attachments/20161215/876ae570/attachment-0002.jpg 
----------- следущая часть -----------
Вложение не в текстовом формате было извлечено…
Имя     : image004.jpg
Тип     : image/jpeg
Размер  : 19031 байтов
Описание: отсутствует
Url     : http://weborto.net:8080/pipermail/ortho/attachments/20161215/876ae570/attachment-0003.jpg 


Подробная информация о списке рассылки Ortho