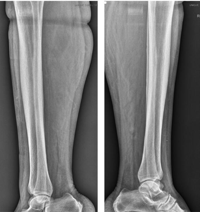
[Ortho] Непонятный свищ

Ниязов Нияз orthoforum на weborto.net
Пн Дек 19 19:41:31 YEKT 2016


Боковой снимок
Ниязов Нияз


----------- следущая часть -----------
Вложение не в текстовом формате было извлечено…
Имя     : IMG_20161219_50437.jpg
Тип     : image/jpeg
Размер  : 77832 байтов
Описание: отсутствует
Url     : http://weborto.net:8080/pipermail/ortho/attachments/20161219/1afe4dd3/attachment-0001.jpg 


Подробная информация о списке рассылки Ortho