[Ortho] Оперировать или нет.

Панченко Андрей orthoforum на weborto.net
Вт Дек 20 11:09:20 YEKT 2016


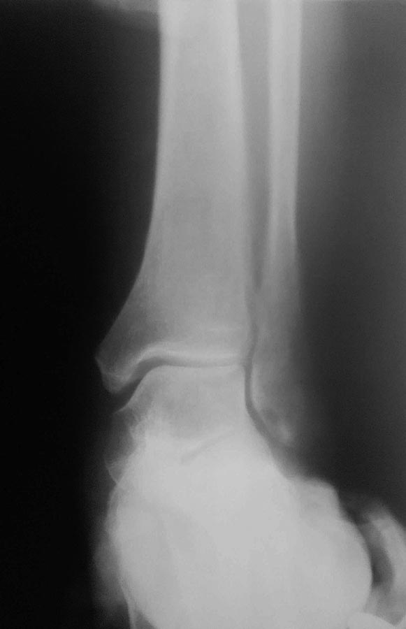
с наружной ротацией и пронацией стопы.
Панченко Андрей


----------- следущая часть -----------
Вложение не в текстовом формате было извлечено…
Имя     : IMG00061.jpg
Тип     : image/jpeg
Размер  : 43652 байтов
Описание: отсутствует
Url     : http://weborto.net:8080/pipermail/ortho/attachments/20161220/e26e0179/attachment-0001.jpg 


Подробная информация о списке рассылки Ortho