[Ortho]

alex_artemiev mail.ru
15 06:23:23 YEKT 2016


 Мне кажется, я знаю, о ком речь...
Неделю назад эта пациентка была у меня на консультации.
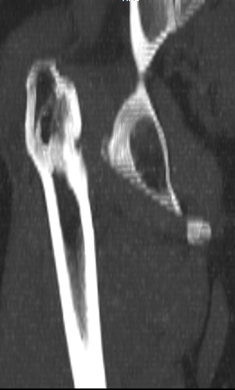
Сделал ей КТ. 
С удивлением узнала, что перелом в области шейки у неё не сросся, хотя на рентгенограмме тех лет так оно и есть.
Поверила на слово врачам - сказали, что срослось. Слово - лечит:))
КТ - во вложении.
Поскольку основная жалоба на укорочение конечности, то я ей предложил удлинить голень. Величину удлинения обсудили - в пределах 4 см.
Она решила пойти по "большому кругу" в плане консультаций. Думаю, еще где-нибудь всплывет.
Не стал бы называть случай интереснейшим, но не совсем типичный, это да...
Интересна функциональная адаптация - практически полная функция того, что раньше было тазобедренным суставом.
-- 
С уважением
Александр Артемьев
www.varus-valgus.net  


>Воскресенье, 14 февраля 2016, 22:51 +05:00 от "������� �������" <orthoforum  weborto.net>:
>
>Уважаемые  коллеги! Выставляю на Ваше обозрение интереснейший 
>клинический разбор.
>
>К нам обратилась пациентка 29 лет. В 9 летнем возрасте, падение с 
>качелей. Перелом правого бедра: диафиза и шейки. Рентгенограмм нет, но 
>судя по рассказам пациентки, перелом шейки бедра нашли через два месяца 
>консервативного лечения перелома диафиза. Через 2 месяца после травмы 
>оперативное лечение перелома диафиза накостным остеосинтезом, шейку 
>лечили консервативно.
>В настоящее время: жалобы на укорочение конечности. Собирается рожать 
>детей. Конечность укорочена на 7 см. Функция в правом тазобедренном 
>суставе полная! Коллеги, Ваше мнение по поводу лечения?
>
>Дмитрий Ефремов
>ГКБ№1 им. Н.И. Пирогова
>
>
>_______________________________________________
>Ortho mailing list
>Ortho  weborto.net
>http://weborto.net:8080/mailman/listinfo/ortho



-----------   -----------
Вложение в формате HTML было извлечено&hellip;
URL: http://weborto.net:8080/pipermail/ortho/attachments/20160215/af4c890c/attachment-0001.html 
-----------   -----------
Вложение не в текстовом формате было извлечено&hellip;
Имя     : отсутствует
Тип     : image/jpeg
Размер  : 98118 байтов
Описание: отсутствует
Url     : http://weborto.net:8080/pipermail/ortho/attachments/20160215/af4c890c/attachment-0005.jpeg 
-----------   -----------
Вложение не в текстовом формате было извлечено&hellip;
Имя     : отсутствует
Тип     : image/jpeg
Размер  : 100096 байтов
Описание: отсутствует
Url     : http://weborto.net:8080/pipermail/ortho/attachments/20160215/af4c890c/attachment-0006.jpeg 
-----------   -----------
Вложение не в текстовом формате было извлечено&hellip;
Имя     : отсутствует
Тип     : image/jpeg
Размер  : 108072 байтов
Описание: отсутствует
Url     : http://weborto.net:8080/pipermail/ortho/attachments/20160215/af4c890c/attachment-0007.jpeg 
-----------   -----------
Вложение не в текстовом формате было извлечено&hellip;
Имя     : отсутствует
Тип     : image/jpeg
Размер  : 117876 байтов
Описание: отсутствует
Url     : http://weborto.net:8080/pipermail/ortho/attachments/20160215/af4c890c/attachment-0008.jpeg 
-----------   -----------
Вложение не в текстовом формате было извлечено&hellip;
Имя     : отсутствует
Тип     : image/jpeg
Размер  : 137693 байтов
Описание: отсутствует
Url     : http://weborto.net:8080/pipermail/ortho/attachments/20160215/af4c890c/attachment-0009.jpeg 


Ortho