[Ortho]

alex_artemiev mail.ru
16 01:27:38 YEKT 2016


 Вчера отправлял письмо, почему-то не дошло:(

Мне кажется, я знаю, о ком речь...
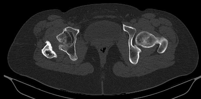
Неделю назад эта пациентка была у меня на консультации.
Сделал ей КТ. 
С удивлением узнала, что перелом в области шейки у неё не сросся, хотя на рентгенограмме тех лет так оно и есть.
Поверила на слово врачам - сказали, что срослось. Слово - лечит:))
КТ - во вложении.
Поскольку основная жалоба на укорочение конечности, то я ей предложил удлинить голень. Величину удлинения обсудили - в пределах 4 см.
Она решила пойти по "большому кругу" в плане консультаций. Думаю, еще где-нибудь всплывет.
Не стал бы называть случай интереснейшим, но не совсем типичный, это да...
Интересна функциональная адаптация - практически полная функция того, что раньше было тазобедренным суставом.
-- 
С уважением
Александр Артемьев
www.varus-valgus.net  


>Понедельник, 15 февраля 2016, 1:55 +05:00 от "Alexander Chelnokov" <orthoforum  weborto.net>:
>
>Без рентгенограмм какие тут могут быть обсуждения-мнения? Только 
>недоумение может появиться.
>Alexander Chelnokov
>
>
>
>_______________________________________________
>Ortho mailing list
>Ortho  weborto.net
>http://weborto.net:8080/mailman/listinfo/ortho


-- 
С уважением
Александр Артемьев
www.varus-valgus.net

-----------   -----------
Вложение в формате HTML было извлечено&hellip;
URL: http://weborto.net:8080/pipermail/ortho/attachments/20160215/5dfcc6b7/attachment-0001.htm 
-----------   -----------
Вложение не в текстовом формате было извлечено&hellip;
Имя     : отсутствует
Тип     : image/jpeg
Размер  : 22755 байтов
Описание: отсутствует
Url     : http://weborto.net:8080/pipermail/ortho/attachments/20160215/5dfcc6b7/attachment-0004.jpeg 
-----------   -----------
Вложение не в текстовом формате было извлечено&hellip;
Имя     : отсутствует
Тип     : image/jpeg
Размер  : 18802 байтов
Описание: отсутствует
Url     : http://weborto.net:8080/pipermail/ortho/attachments/20160215/5dfcc6b7/attachment-0005.jpeg 
-----------   -----------
Вложение не в текстовом формате было извлечено&hellip;
Имя     : отсутствует
Тип     : image/jpeg
Размер  : 31443 байтов
Описание: отсутствует
Url     : http://weborto.net:8080/pipermail/ortho/attachments/20160215/5dfcc6b7/attachment-0006.jpeg 
-----------   -----------
Вложение не в текстовом формате было извлечено&hellip;
Имя     : отсутствует
Тип     : image/jpeg
Размер  : 29936 байтов
Описание: отсутствует
Url     : http://weborto.net:8080/pipermail/ortho/attachments/20160215/5dfcc6b7/attachment-0007.jpeg 


Ortho