[Ortho] Застарелый вывих полулунной кости

Фарид orthoforum на weborto.net
Вс Фев 21 22:54:47 YEKT 2016


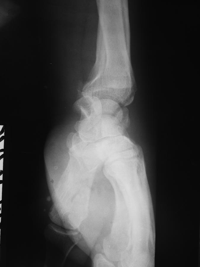
Поступил пациент В, 49 лет. С жалобами: на ограничение движение в правом 
лучезапястном суставе, на жжение в пальцах правой кисти в ночное время. 
Анамнез: получил травму 25.12.2015 г. лечили амбулаторно перелом лучевой 
кости, наложена гипсовая лонгета. После снятие гипса
легча не стало. Амбулаторные снимки прилагаются. Выполнили КТ DS: 
признаки вывиха полулунной кости, срастающийся перелом лучевой кости 
дистального эпифиза, трехгранной кости. Нужна помощь в тактике лечения.
Фарид
Канашский ММЦ


----------- следущая часть -----------
Вложение не в текстовом формате было извлечено…
Имя     : 26.12.2015З. (2).JPG
Тип     : image/jpeg
Размер  : 49575 байтов
Описание: отсутствует
Url     : http://weborto.net:8080/pipermail/ortho/attachments/20160221/af3d63b3/attachment-0001.jpeg 


Подробная информация о списке рассылки Ortho