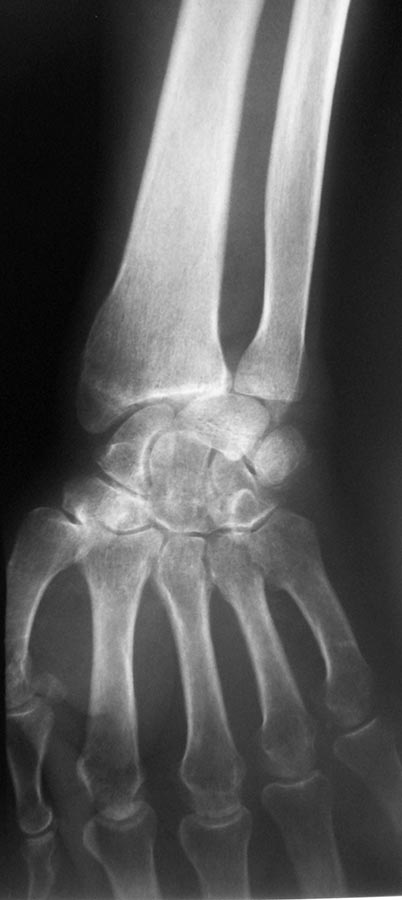
[Ortho] Застарелый вывих полулунной кости

Фарид orthoforum на weborto.net
Ср Фев 24 12:23:16 YEKT 2016


Извиняюсь, вот от 20.02.2016 снимки.
Фарид


----------- следущая часть -----------
Вложение не в текстовом формате было извлечено…
Имя     : 20.02.2016З.JPG
Тип     : image/jpeg
Размер  : 50637 байтов
Описание: отсутствует
Url     : http://weborto.net:8080/pipermail/ortho/attachments/20160224/594a6f86/attachment-0001.jpeg 


Подробная информация о списке рассылки Ortho