[Ortho] Застарелый вывих полулунной кости

Фарид orthoforum на weborto.net
Ср Фев 24 12:23:17 YEKT 2016


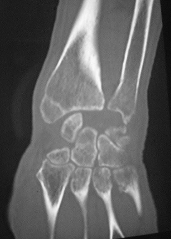
Вот КТ
Фарид

----------- следущая часть -----------
Вложение не в текстовом формате было извлечено…
Имя     : 20.02.2016З (4).JPG
Тип     : image/jpeg
Размер  : 52054 байтов
Описание: отсутствует
Url     : http://weborto.net:8080/pipermail/ortho/attachments/20160224/48581843/attachment-0001.jpe 


Подробная информация о списке рассылки Ortho