[Ortho] Как лечить экзостозную хондродисплазию

Сергей orthoforum на weborto.net
Сб Янв 9 20:42:13 YEKT 2016


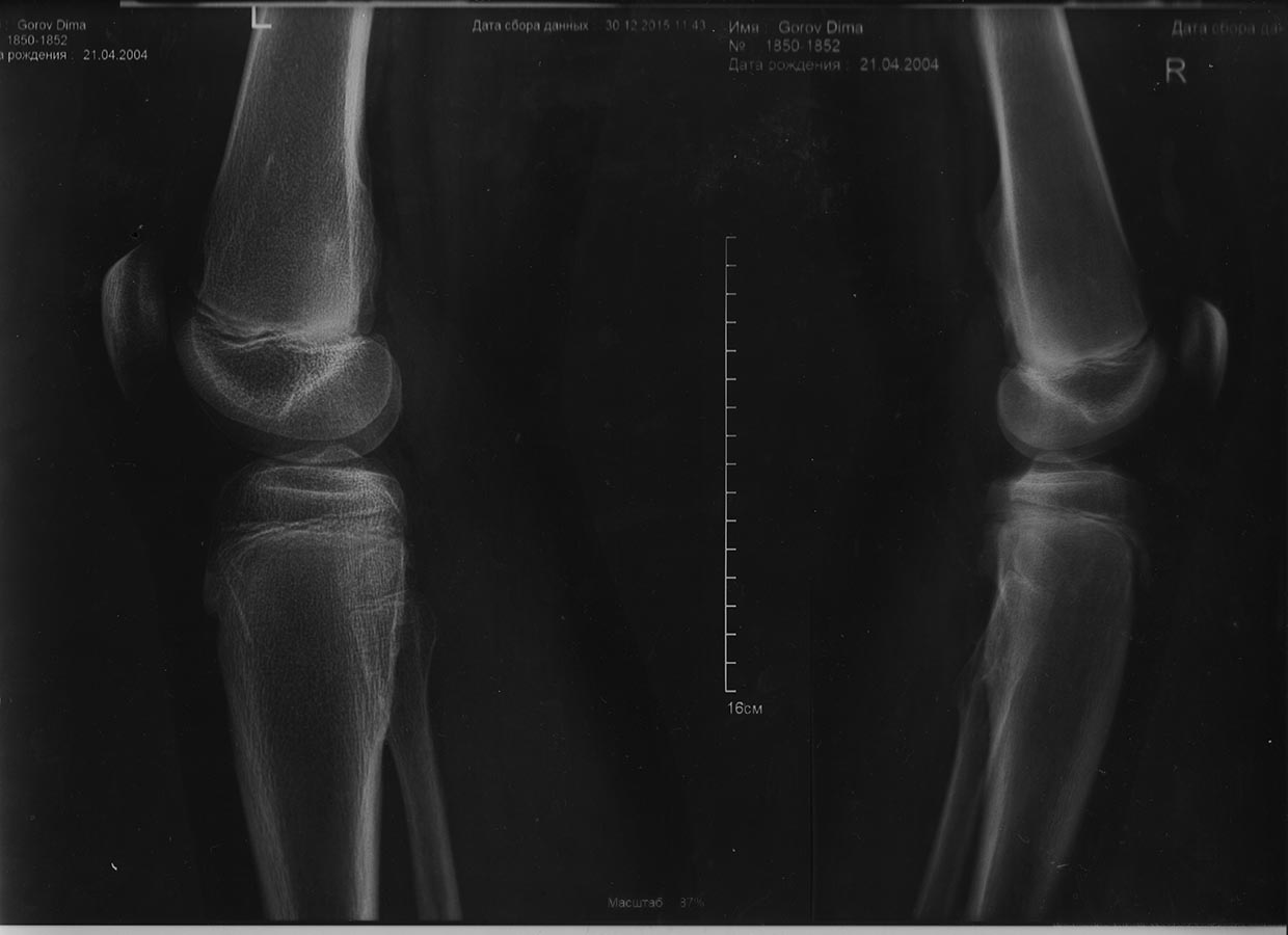
Ко мне обратился ребёнок 11 лет с жалобами на боли в области коленных 
суставов, рентген прилагается. Кто как лечит данную патологию, в каких 
случаях прибегаете к операции. Заранее
спасибо за ответ.
Сергей


----------- следущая часть -----------
Вложение не в текстовом формате было извлечено…
Имя     : image.jpeg
Тип     : image/jpeg
Размер  : 69251 байтов
Описание: отсутствует
Url     : http://weborto.net:8080/pipermail/ortho/attachments/20160109/4e5a9424/attachment-0001.jpeg 


Подробная информация о списке рассылки Ortho