[Ortho] Множественные переломы у ребенка - тактика?

Игорь orthoforum на weborto.net
Ср Янв 13 23:35:30 YEKT 2016


Здравствуйте.
У нас поступила девчонка, 10 лет, ДТП 7.01.2016.
Множественные переломы.
Снимки https://yadi.sk/a/EeccWkbumu9mN

Здравствуйте.
У нас поступила девчонка, 10 лет, ДТП 7.01.2016.
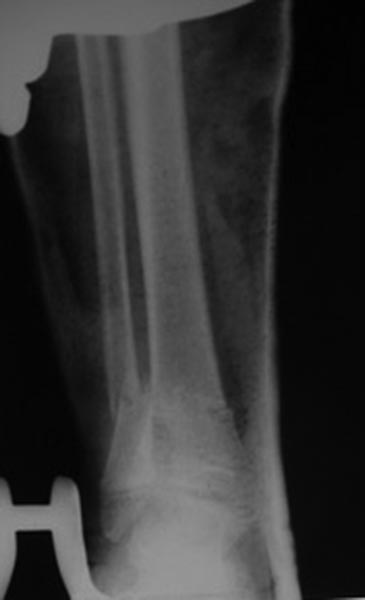
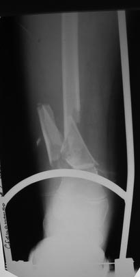
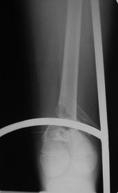
У неё переломы обеих седалищных костей без смещения значительного.
Переломы оскольчатые обеих бёдер в н/3, открытые. Раны ушиты в отличном 
состоянии.
На одном бедре межмыщелковый перелом и там мыщелки немного разъехались. 
Голень там тоже сломана в н/3 обе кости. Снимок голени в боковой 
проекции сделан не был.
На данный момент ребёнок лечится вытяжением, антибиотики, инфузии.
В отделении есть только спицы, аппарат Илизарова, и несколько гвоздей 
Богданова, на этом метал заканчивается.


Вопросы:
Как можно лечить бёдра? Илизаровским аппаратом или вытяжением до 
победного конца? Или "другой" вариант?

Заранее спасибо!

Игорь


----------- следущая часть -----------
Вложение не в текстовом формате было извлечено…
Имя     : IMG_4412.JPG
Тип     : image/jpeg
Размер  : 40953 байтов
Описание: отсутствует
Url     : http://weborto.net:8080/pipermail/ortho/attachments/20160113/818c8a7b/attachment-0001.jpe 
----------- следущая часть -----------
Вложение не в текстовом формате было извлечено…
Имя     : IMG_4413.JPG
Тип     : image/jpeg
Размер  : 22562 байтов
Описание: отсутствует
Url     : http://weborto.net:8080/pipermail/ortho/attachments/20160113/818c8a7b/attachment-0005.jpeg 
----------- следущая часть -----------
Вложение не в текстовом формате было извлечено…
Имя     : IMG_4415.JPG
Тип     : image/jpeg
Размер  : 22765 байтов
Описание: отсутствует
Url     : http://weborto.net:8080/pipermail/ortho/attachments/20160113/818c8a7b/attachment-0006.jpeg 
----------- следущая часть -----------
Вложение не в текстовом формате было извлечено…
Имя     : IMG_4416.JPG
Тип     : image/jpeg
Размер  : 22041 байтов
Описание: отсутствует
Url     : http://weborto.net:8080/pipermail/ortho/attachments/20160113/818c8a7b/attachment-0007.jpeg 
----------- следущая часть -----------
Вложение не в текстовом формате было извлечено…
Имя     : IMG_4417.JPG
Тип     : image/jpeg
Размер  : 39862 байтов
Описание: отсутствует
Url     : http://weborto.net:8080/pipermail/ortho/attachments/20160113/818c8a7b/attachment-0008.jpeg 
----------- следущая часть -----------
Вложение не в текстовом формате было извлечено…
Имя     : IMG_4418.JPG
Тип     : image/jpeg
Размер  : 19517 байтов
Описание: отсутствует
Url     : http://weborto.net:8080/pipermail/ortho/attachments/20160113/818c8a7b/attachment-0009.jpeg 


Подробная информация о списке рассылки Ortho