[Ortho] Тактика лечения Hallux Valgus

Виталий orthoforum на weborto.net
Пн Янв 18 17:16:29 YEKT 2016


Хотелось бы обсудить тактику вмешательства и обьем вмешательств на малых 
лучах при вальгусной деформации 2 степени

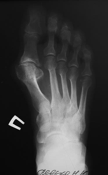
Пациентка 59 лет с деформацией стопы. Омозолелости под головками 2,3,4,5 
плюсневых.
Плоскостопие и вальгусная деформация 1 пальца. Омозолелость над 2-м 
межфаланговым суставом (видно на фото). План такой: SCARF 1 плюсневая с 
укорочением, AKIN. вейль хохман 2 палец. открыто без внутренней 
фиксации. Смущает то что по рентгенографии не преобладания длины 1 луча 
они равны со 2-м, и омозолелости под 2,3,4. учитывая что 2 палец 
деформирован клинически, планируется вмешиваться на нем. Но тогда и 3 
делать открыто вейль и закрыто 4 вейль. Стоит ли трогать 3,4. и какие 
замечания по плану? спасибо большое!
Виталий
ГКБ 3


----------- следущая часть -----------
Вложение не в текстовом формате было извлечено…
Имя     : tn20160118_102105.jpg
Тип     : image/jpeg
Размер  : 58960 байтов
Описание: отсутствует
Url     : http://weborto.net:8080/pipermail/ortho/attachments/20160118/56550f23/attachment-0002.jpg 
----------- следущая часть -----------
Вложение не в текстовом формате было извлечено…
Имя     : tn20160118_115908.jpg
Тип     : image/jpeg
Размер  : 27818 байтов
Описание: отсутствует
Url     : http://weborto.net:8080/pipermail/ortho/attachments/20160118/56550f23/attachment-0003.jpg 


Подробная информация о списке рассылки Ortho