[Ortho] Постравматическая деформация пяточной кости

Абдурашид orthoforum на weborto.net
Вт Янв 19 17:14:13 YEKT 2016


    Уважаемые коллеги.

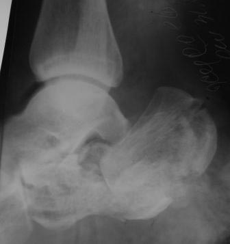
Вчера госпитализирован пациент 1970г.р., в ноябре 2014г, получил 
о/перелом пяточной кости. в другой клинике произведена КДО аппаратом 
Илизарова, после трех месяцев аппарат сняли, и больной начал наступать и 
ходить, все это со слов больного (р-снимков нет.). Жалобы боль при 
ходьбе, которая в динамике усиливается, об-но: деформация пяточной 
кости, движение в г/стопном суставе почти в полном объеме, по медиальной 
поверхности пятки рубец, плотно спаянный с костью.
    Предварительный план: корригируюшая остеотомия пяточной кости, для 
создания свода стопы (сможем ли опустить бугор пяточной кости из-за 
натяжения ахиллово сухожилия), и подтаранный артродез.
     С уважением Абдурашид.

----------- следущая часть -----------
Вложение не в текстовом формате было извлечено…
Имя     : 20160119_130128.jpg
Тип     : image/jpeg
Размер  : 25557 байтов
Описание: отсутствует
Url     : http://weborto.net:8080/pipermail/ortho/attachments/20160119/18b1a49e/attachment-0006.jpg 
----------- следущая часть -----------
Вложение не в текстовом формате было извлечено…
Имя     : 20160119_130147.jpg
Тип     : image/jpeg
Размер  : 39937 байтов
Описание: отсутствует
Url     : http://weborto.net:8080/pipermail/ortho/attachments/20160119/18b1a49e/attachment-0007.jpg 
----------- следущая часть -----------
Вложение не в текстовом формате было извлечено…
Имя     : 20160119_130205.jpg
Тип     : image/jpeg
Размер  : 33567 байтов
Описание: отсутствует
Url     : http://weborto.net:8080/pipermail/ortho/attachments/20160119/18b1a49e/attachment-0008.jpg 
----------- следущая часть -----------
Вложение не в текстовом формате было извлечено…
Имя     : 20160119_130405.jpg
Тип     : image/jpeg
Размер  : 30009 байтов
Описание: отсутствует
Url     : http://weborto.net:8080/pipermail/ortho/attachments/20160119/18b1a49e/attachment-0009.jpg 
----------- следущая часть -----------
Вложение не в текстовом формате было извлечено…
Имя     : 20160119_130438.jpg
Тип     : image/jpeg
Размер  : 35954 байтов
Описание: отсутствует
Url     : http://weborto.net:8080/pipermail/ortho/attachments/20160119/18b1a49e/attachment-0010.jpg 
----------- следущая часть -----------
Вложение не в текстовом формате было извлечено…
Имя     : 20160119_130454-1.jpg
Тип     : image/jpeg
Размер  : 12487 байтов
Описание: отсутствует
Url     : http://weborto.net:8080/pipermail/ortho/attachments/20160119/18b1a49e/attachment-0011.jpg 


Подробная информация о списке рассылки Ortho