[Ortho] Тактика лечения Hallux Valgus

Виталий orthoforum на weborto.net
Пт Янв 22 15:09:34 YEKT 2016


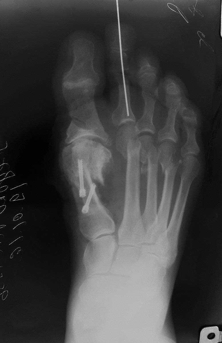
Сделал Обьем такой
scarf, Akin.
открыто вейль 2,3 с удлиннением длинного разгибателя 2 пальца, закрыто 
субкапитальная остеотомия 4 пальца.
хохман 2 фиксация спица 3 недели.
Оцените пожалуйста ситуацию. Вторые сутки отека нет все нормально со стопой
Виталий


----------- следущая часть -----------
Вложение не в текстовом формате было извлечено…
Имя     : 20160119_103503.jpg
Тип     : image/jpeg
Размер  : 69817 байтов
Описание: отсутствует
Url     : http://weborto.net:8080/pipermail/ortho/attachments/20160122/84d85c3b/attachment-0003.jpg 
----------- следущая часть -----------
Вложение не в текстовом формате было извлечено…
Имя     : tn20160122_083528.jpg
Тип     : image/jpeg
Размер  : 44767 байтов
Описание: отсутствует
Url     : http://weborto.net:8080/pipermail/ortho/attachments/20160122/84d85c3b/attachment-0004.jpg 
----------- следущая часть -----------
Вложение не в текстовом формате было извлечено…
Имя     : tn20160122_084036.jpg
Тип     : image/jpeg
Размер  : 34643 байтов
Описание: отсутствует
Url     : http://weborto.net:8080/pipermail/ortho/attachments/20160122/84d85c3b/attachment-0005.jpg 


Подробная информация о списке рассылки Ortho