[Ortho] Миграция спицы!

Музафаров Юрий orthoforum на weborto.net
Пн Янв 25 11:52:43 YEKT 2016


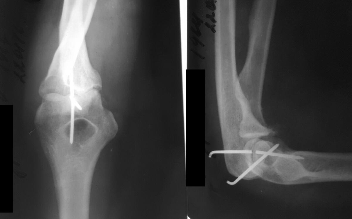
Доброго времени суток, уважаемые коллеги. Женщина 47лет. Три недели 
назад произведено открытое вправление по поводу застарелого вывиха 
предплечья.	

Фиксировано двумя спицами. Сейчас обратилась для удаления спиц и 
проведения ЛФК.На рентген контроле выявлен перелом спицы. Посоветуйте, 
как ее теперь удалить.
Музафаров Юрий

----------- следущая часть -----------
Вложение не в текстовом формате было извлечено…
Имя     : IMG-20160125-WA0014.jpg
Тип     : image/jpeg
Размер  : 53363 байтов
Описание: отсутствует
Url     : http://weborto.net:8080/pipermail/ortho/attachments/20160125/23ffd2db/attachment-0001.jpg 


Подробная информация о списке рассылки Ortho