[Ortho] перелом Galeazzi

Юрий orthoforum на weborto.net
Вт Янв 26 15:18:33 YEKT 2016


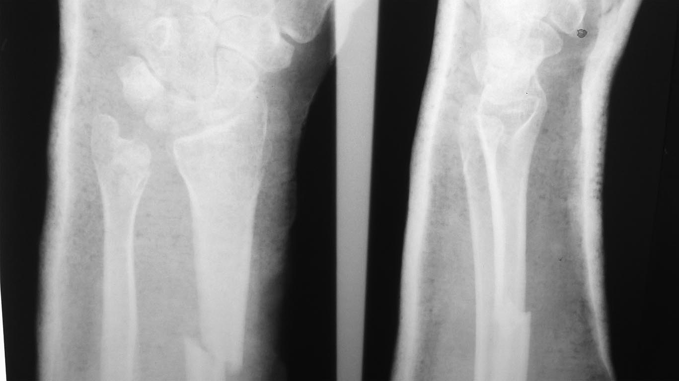
К нам поступила женщина с закрытым переломом диафиза лучевой кости и 
переломом головки локтевой кости с повреждением дистального 
радиоульнарного сочленения.

В плане открытый накостный остеосинтез лучевой кости. Нужен совет по 
поводу вмешательства на локтевой кости,если на интраоперационных снимках 
подвывиха головки локтевой кости не будет
Юрий


----------- следущая часть -----------
Вложение не в текстовом формате было извлечено…
Имя     : WP_20160126_11_54_07_Pro.jpg
Тип     : image/jpeg
Размер  : 73431 байтов
Описание: отсутствует
Url     : http://weborto.net:8080/pipermail/ortho/attachments/20160126/5bc9ddd9/attachment-0001.jpg 


Подробная информация о списке рассылки Ortho