[Ortho] Постравматическая деформация пяточной кости

Абдурашидa orthoforum на weborto.net
Вт Янв 26 23:18:04 YEKT 2016


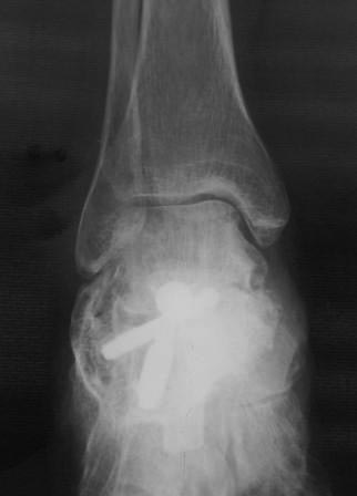
    Уважаемые коллеги.Операция была произведена 22.01.16г. только 
сегодня имеется возможность отправить. L-образный доступ. . при ревизии 
подтаранный сустав сохранен, поэтому линейная остеотомия, подкожная 
ахиллотомия. . подготовка ложа, и смещенный отломок спущен вниз к ложу, 
но  до конца не смогли. фиксирован двумя винтами. по медиальной 
поверхности рубец плотно спаянный с костной осколькой пока не трогали 
из-за опасения инфицирования, после заживления раны потом будем думать 
что делать.
     С уважением Абдурашид.

----------- следущая часть -----------
Вложение не в текстовом формате было извлечено…
Имя     : 1.jpg
Тип     : image/jpeg
Размер  : 37062 байтов
Описание: отсутствует
Url     : http://weborto.net:8080/pipermail/ortho/attachments/20160126/21135273/attachment-0004.jpg 
----------- следущая часть -----------
Вложение не в текстовом формате было извлечено…
Имя     : 2.jpg
Тип     : image/jpeg
Размер  : 35211 байтов
Описание: отсутствует
Url     : http://weborto.net:8080/pipermail/ortho/attachments/20160126/21135273/attachment-0005.jpg 
----------- следущая часть -----------
Вложение не в текстовом формате было извлечено…
Имя     : 3.jpg
Тип     : image/jpeg
Размер  : 26064 байтов
Описание: отсутствует
Url     : http://weborto.net:8080/pipermail/ortho/attachments/20160126/21135273/attachment-0006.jpg 
----------- следущая часть -----------
Вложение не в текстовом формате было извлечено…
Имя     : 4.jpg
Тип     : image/jpeg
Размер  : 22229 байтов
Описание: отсутствует
Url     : http://weborto.net:8080/pipermail/ortho/attachments/20160126/21135273/attachment-0007.jpg 


Подробная информация о списке рассылки Ortho