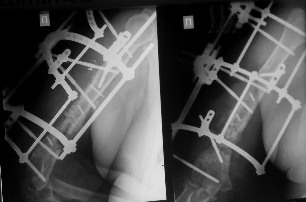
[Ortho] Реостеосинтез плеча. Что дальше...?

Виталий orthoforum на weborto.net
Сб Июл 2 12:12:50 YEKST 2016


2 месяца с АВФ
Виталий

----------- следущая часть -----------
Вложение не в текстовом формате было извлечено…
Имя     : IMG_20151117_190239.jpg
Тип     : image/jpeg
Размер  : 91338 байтов
Описание: отсутствует
Url     : http://weborto.net:8080/pipermail/ortho/attachments/20160702/7f5745c3/attachment-0001.jpg 


Подробная информация о списке рассылки Ortho