[Ortho] Сравнение долгосрочных результатов шевронной и scarf остеотомий

Виталий orthoforum на weborto.net
Ср Июл 13 22:11:51 YEKST 2016


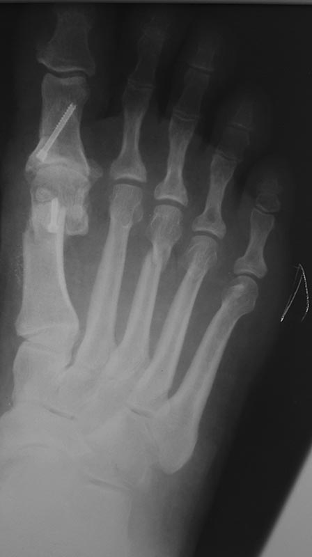
По просьбам трудящихся)) сегодня сделан шеврон Эйкин 3dmmo!)) остеотомия 
вышла стабильно!  Накосячил с параболой ,  не дал достаточного 
укорочения m1! Нужен опыт!))
Виталий


----------- следущая часть -----------
Вложение не в текстовом формате было извлечено…
Имя     : 2016-07-13 18.41.49.jpg
Тип     : image/jpeg
Размер  : 36891 байтов
Описание: отсутствует
Url     : http://weborto.net:8080/pipermail/ortho/attachments/20160713/dfd3f1db/attachment-0001.jpg 


Подробная информация о списке рассылки Ortho