[Ortho] Сравнение долгосрочных результатов шевронной и scarf остеотомий

Виталий orthoforum на weborto.net
Ср Июл 13 22:11:51 YEKST 2016


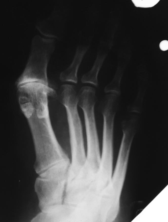
Фото до
Виталий

----------- следущая часть -----------
Вложение не в текстовом формате было извлечено…
Имя     : 2016-07-13 18.47.57.jpg
Тип     : image/jpeg
Размер  : 38537 байтов
Описание: отсутствует
Url     : http://weborto.net:8080/pipermail/ortho/attachments/20160713/98a0b32c/attachment-0001.jpg 


Подробная информация о списке рассылки Ortho