[Ortho] Сравнение долгосрочных результатов шевронной и scarf остеотомий

Бережной Сергей orthoforum на weborto.net
Пт Июл 15 11:42:40 YEKST 2016


Шеврон получился отлично. А вот интересно какова причина центральной 
метатарзалгии при отсутствии hallux valgus? У пациентки первая плюсневая 
кость длиннее остальных (один из самых частых предрасполагающих к 
развитию артроза факторов), признаки артроза первого плюснефалангового 
сустава 2-3 степени. Наверняка имелась выраженная тугоподвижность ПФС1. 
Может с этим была связана метатарзалгия? С переносом нагрузки на 
наружный край стопы из-за ограничения подвижности и болезненности 
сустава большого пальца? В этом случае вполне можно было ограничиться 
укорачивающей остеотомией М1 или каким либо вмешательством на ПФС1.
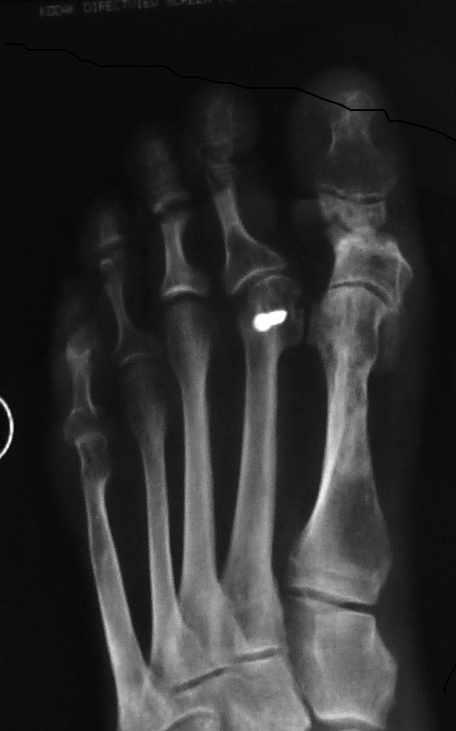
И чтобы закончить тему scarf "по любому случаю" - рентгенограмма с 
вчерашней консультации. Пациентка оперирована 5 лет назад известным 
хирургом. Scarf при маленьком М1М2 (при отсутствии первичных снимков это 
легко представить по ориентации основания М1 и углу наклона суставных 
поверхностей первого плюснеклиновидного сустава). Одно из последствий 
операции - неоартроз между головками М1 и М2. Я такое впервые увидел.
Бережной Сергей


----------- следущая часть -----------
Вложение не в текстовом формате было извлечено…
Имя     : P1170110 - ЛПРИ?С.JPG
Тип     : image/jpeg
Размер  : 65548 байтов
Описание: отсутствует
Url     : http://weborto.net:8080/pipermail/ortho/attachments/20160715/22c77656/attachment-0001.jpeg 


Подробная информация о списке рассылки Ortho