[Ortho] Разрыв межберцового синдесмоза

Бек orthoforum на weborto.net
Пт Июл 22 20:20:10 YEKST 2016


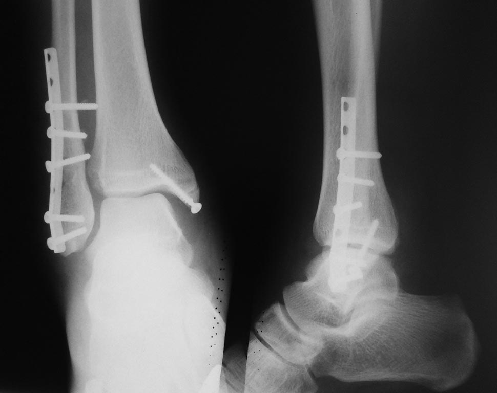
Здравствуйте коллеги, во время операции не смог поставить позиционный винт.

В данном случае что делать?Дальнейшая тактика лечени ? Какие последствия 
могут быть?Спасибо
Бек


----------- следущая часть -----------
Вложение не в текстовом формате было извлечено…
Имя     : 20160722_091828.jpg
Тип     : image/jpeg
Размер  : 55881 байтов
Описание: отсутствует
Url     : http://weborto.net:8080/pipermail/ortho/attachments/20160722/987f0433/attachment-0001.jpg 


Подробная информация о списке рассылки Ortho