[Ortho] Остеомиелит бедра в условиях МОС

Антон orthoforum на weborto.net
Сб Июл 30 02:14:12 YEKST 2016


Здравствуйте, уважаемые коллеги.Поделитесь пожалуйста мнением о 
возможной дальнейшей тактике лечения при данном осложнении.

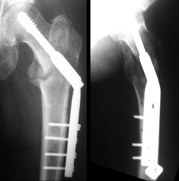
У нас в клинике, в мае 2015 года была прооперирована пациентка 50 лет, 
страдающая сахарным диабетом, по поводу закрытого чрезвертельного 
перелома левого бедра со смещением отломков. Был выполнен остеосинтез 
левого бедра пластиной DHS. Через 3 недели после выписки, в проекции 
дистального конца пластины сформировались 2 свища с серозно-гнойным
отделяемым. Через 1,5 месяца после операции пациентка была 
госпитализирована в наше отделение. При поступлении у пациентки 
отмечался умеренный отек мягких тканей в области левого бедра, два 
свищевых хода с серозно-гнойным отделяемым. Гиперемии в области п\о 
рубца не было. В отделение была проведена антибактериальная терапия 
соответственно результатам посева. На фоне лечения свищи закрылись, 
пациентка не лихорадит. Была выписана из стационара. Что делать дальше? 
Оставить так и ждать сращения, которое в условиях инфекции и
нестабильной фиксации может и не наступить. Или же необходимо 
оперативное лечение, какая тактика? К сожалению не могу предоставить 
фистулограммы, но на них контраст распространяется вдоль пластины и 
заполняет дефект в области большого вертела. Заранее спасибо!
Антон


----------- следущая часть -----------
Вложение не в текстовом формате было извлечено…
Имя     : IMG_2016-07-29_20-42-54.JPG
Тип     : image/jpeg
Размер  : 45984 байтов
Описание: отсутствует
Url     : http://weborto.net:8080/pipermail/ortho/attachments/20160729/b63e74ea/attachment-0001.jpe 


Подробная информация о списке рассылки Ortho