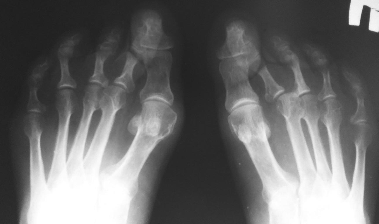
[Ortho] Проблема обеих стоп

Анвар orthoforum на weborto.net
Чт Июн 16 18:20:45 YEKST 2016


Снимки
Анвар


----------- следущая часть -----------
Вложение не в текстовом формате было извлечено…
Имя     : 20160614_143753.jpg
Тип     : image/jpeg
Размер  : 65935 байтов
Описание: отсутствует
Url     : http://weborto.net:8080/pipermail/ortho/attachments/20160616/9441ac16/attachment-0001.jpg 


Подробная информация о списке рассылки Ortho