[Ortho] Новообразование стопы

Олег orthoforum на weborto.net
Чт Июн 23 02:14:23 YEKST 2016


Уважаемые коллеги помогите пожалуйста поставить диагноз.

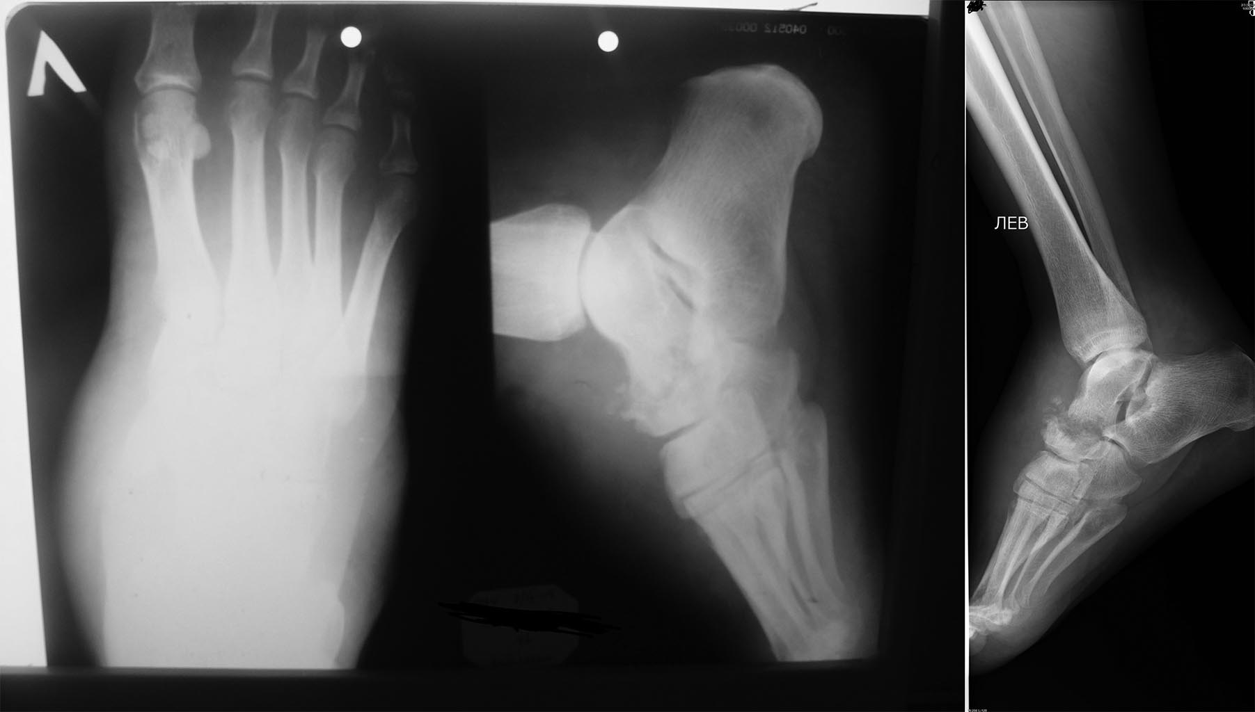
Пациент с жалобами на боль в стопе, усиливающуюся при ходьбе, объемное 
образование тыла стопы 6,0*6,0 см. Болеет около 1 года. Осмотрен 
онкологом онкодиспансера - без онкопатологии ( по результатам биопсии). 
Консультация тубостеолога - ТБС не обн. При исследовании обнаружили 
новообразование дистального метаэпифиза большеберцовой кости и бедренной 
кости. Помогите пожалуйста определиться с диагнозом и методом лечения.
Олег


----------- следущая часть -----------
Вложение не в текстовом формате было извлечено…
Имя     : 1.jpg
Тип     : image/jpeg
Размер  : 463788 байтов
Описание: отсутствует
Url     : http://weborto.net:8080/pipermail/ortho/attachments/20160622/dc6a7f30/attachment-0002.jpg 
----------- следущая часть -----------
Вложение не в текстовом формате было извлечено…
Имя     : xray.jpg
Тип     : image/jpeg
Размер  : 92615 байтов
Описание: отсутствует
Url     : http://weborto.net:8080/pipermail/ortho/attachments/20160622/dc6a7f30/attachment-0003.jpg 


Подробная информация о списке рассылки Ortho