[Ortho] Удаление пластины

Михаил orthoforum на weborto.net
Ср Мар 2 12:05:44 YEKT 2016


Доброго времени суток, уважаемые коллеги! Просим помощи.

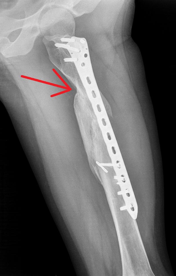
Пациентка 24 г. Травма 2 года назад, операция- малоинвазивный 
остеосинтез бедренной мыщелковой пластиной. В настоящий момент пациентка 
намерена удалить пластину (мешает).
Смущает участок, отмеченный стрелкой- выдержит ли полную нагрузку. Стоит 
ли удалять пластину? Спасибо!
Михаил


----------- следущая часть -----------
Вложение не в текстовом формате было извлечено…
Имя     : оИ?ЦОИ?Е ЛПОЕЮОПУФИ?-вЕДТЕООБС Lat-17.02.2016-11_36_40-321.JPEG
Тип     : image/jpeg
Размер  : 75268 байтов
Описание: отсутствует
Url     : http://weborto.net:8080/pipermail/ortho/attachments/20160302/f7d4f88e/attachment-0001.jpeg 


Подробная информация о списке рассылки Ortho