[Ortho] Киста пяточной кости

Рамиль Салихов orthoforum на weborto.net
Сб Мар 5 01:03:40 YEKT 2016


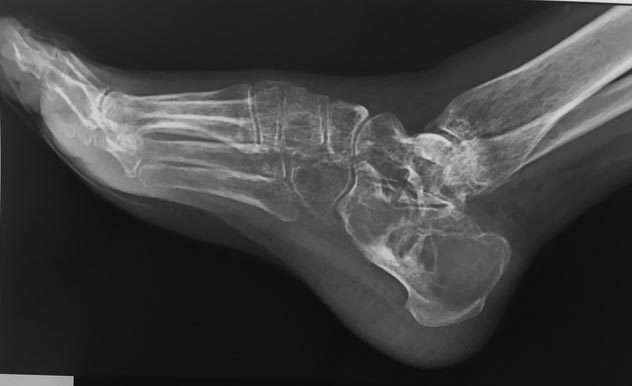
Пациентка с большой аневризмальной костной кистой пяточной кости.

Пациентка Г., 38 лет. 1,5 года назад появились боли в левой пяточной 
кости. Болей в покое и ночных болей нет. 08.09.15 операция: экскохлаеция 
аневризмальной костной кисты, пластика деминерализованными костными 
трансплантатами. По данным МРТ (29.02.16) костной
перестройки нет, вероятно произошел выход содержимого кисты в 
пространство позади ахиллова сухожилия.

Планируется проведение РКТ, биопсии. Вопрос: чем можно заполнить ?
Костный цемент? Или снова деминерализованные костные трансплантаты?
Рамиль Салихов


----------- следущая часть -----------
Вложение не в текстовом формате было извлечено…
Имя     : IMG_5735-1.JPG
Тип     : image/jpeg
Размер  : 33535 байтов
Описание: отсутствует
Url     : http://weborto.net:8080/pipermail/ortho/attachments/20160304/44587ba5/attachment-0004.jpeg 
----------- следущая часть -----------
Вложение не в текстовом формате было извлечено…
Имя     : IMG_5736-1.JPG
Тип     : image/jpeg
Размер  : 260635 байтов
Описание: отсутствует
Url     : http://weborto.net:8080/pipermail/ortho/attachments/20160304/44587ba5/attachment-0005.jpeg 
----------- следущая часть -----------
Вложение не в текстовом формате было извлечено…
Имя     : IMG_5737-1.JPG
Тип     : image/jpeg
Размер  : 56419 байтов
Описание: отсутствует
Url     : http://weborto.net:8080/pipermail/ortho/attachments/20160304/44587ba5/attachment-0006.jpeg 
----------- следущая часть -----------
Вложение не в текстовом формате было извлечено…
Имя     : IMG_5738-1.JPG
Тип     : image/jpeg
Размер  : 72918 байтов
Описание: отсутствует
Url     : http://weborto.net:8080/pipermail/ortho/attachments/20160304/44587ba5/attachment-0007.jpeg 


Подробная информация о списке рассылки Ortho