[Ortho] Тяжелая травма конечностей.

Артем orthoforum на weborto.net
Сб Мар 5 15:18:54 YEKT 2016


Уважаемые коллеги! Поступила пациентка после получения травмы в 
результате столкновения с препятствием.

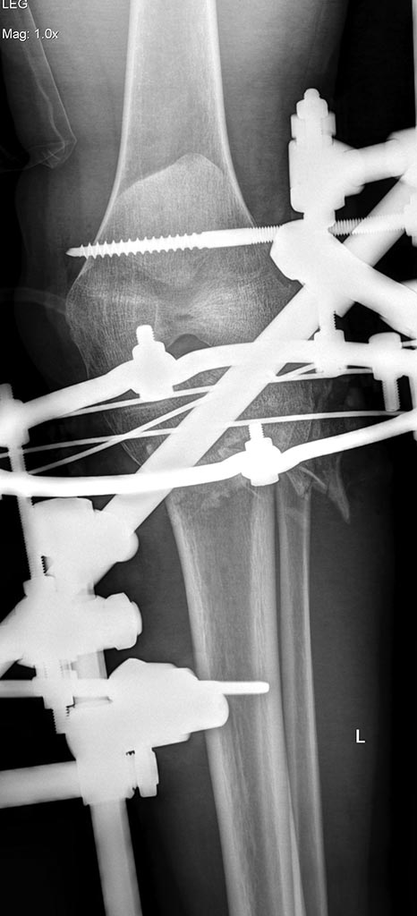
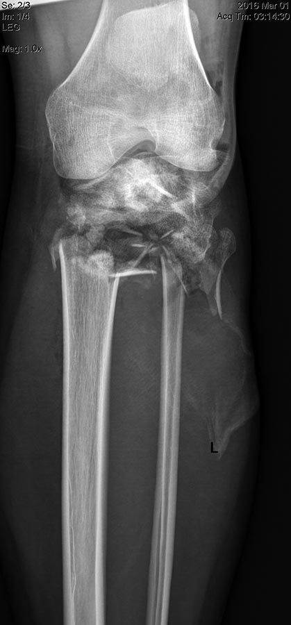
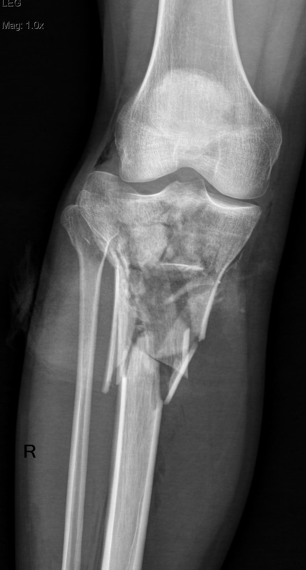
Имеется: Закрытый перелом диафиза левой локтевой кости. Закрытый
оскольчатый перелом диафиза левой бедренной кости в средней трети. 
Открытые (3a-b) оскольчатые внутрисуставные переломы проксимального 
отдела обеих костей правой и левой голени. (см. снимки)

При поступлении выполнено: ПХО открытых перелом костей правой и левой
голени, фиксация в аппаратах; фиксация перелома левой бедренной кости в 
аппарате; иммобилизация левого предплечья лонгетой. Планируем: при 
неосложненном заживлении, остеосинтез правой большеберцовой кости 
пластиной; остеосинтез бедренной кости стержнем; локтевой кости 
пластиной. Что делать с переломами костей левой голени, пока не решили 
окончательно. Пока мнение коллег такое: оставить все как есть до 
заживления /консолидации и ортопедические проблемы с коленным суставом и 
укорочением (3-4 см) решать в отдаленном периоде эндопротезирование (?). 
Каково будет мнение участников форума?
Спасибо!
Артем


----------- следущая часть -----------
Вложение не в текстовом формате было извлечено…
Имя     : 1.jpg
Тип     : image/jpeg
Размер  : 70503 байтов
Описание: отсутствует
Url     : http://weborto.net:8080/pipermail/ortho/attachments/20160305/7241ab43/attachment-0006.jpg 
----------- следущая часть -----------
Вложение не в текстовом формате было извлечено…
Имя     : 2.jpg
Тип     : image/jpeg
Размер  : 325688 байтов
Описание: отсутствует
Url     : http://weborto.net:8080/pipermail/ortho/attachments/20160305/7241ab43/attachment-0007.jpg 
----------- следущая часть -----------
Вложение не в текстовом формате было извлечено…
Имя     : 3.jpg
Тип     : image/jpeg
Размер  : 82969 байтов
Описание: отсутствует
Url     : http://weborto.net:8080/pipermail/ortho/attachments/20160305/7241ab43/attachment-0008.jpg 
----------- следущая часть -----------
Вложение не в текстовом формате было извлечено…
Имя     : 40001.jpg
Тип     : image/jpeg
Размер  : 133356 байтов
Описание: отсутствует
Url     : http://weborto.net:8080/pipermail/ortho/attachments/20160305/7241ab43/attachment-0009.jpg 
----------- следущая часть -----------
Вложение не в текстовом формате было извлечено…
Имя     : 40002.jpg
Тип     : image/jpeg
Размер  : 62868 байтов
Описание: отсутствует
Url     : http://weborto.net:8080/pipermail/ortho/attachments/20160305/7241ab43/attachment-0010.jpg 
----------- следущая часть -----------
Вложение не в текстовом формате было извлечено…
Имя     : 50001.jpg
Тип     : image/jpeg
Размер  : 148874 байтов
Описание: отсутствует
Url     : http://weborto.net:8080/pipermail/ortho/attachments/20160305/7241ab43/attachment-0011.jpg 


Подробная информация о списке рассылки Ortho