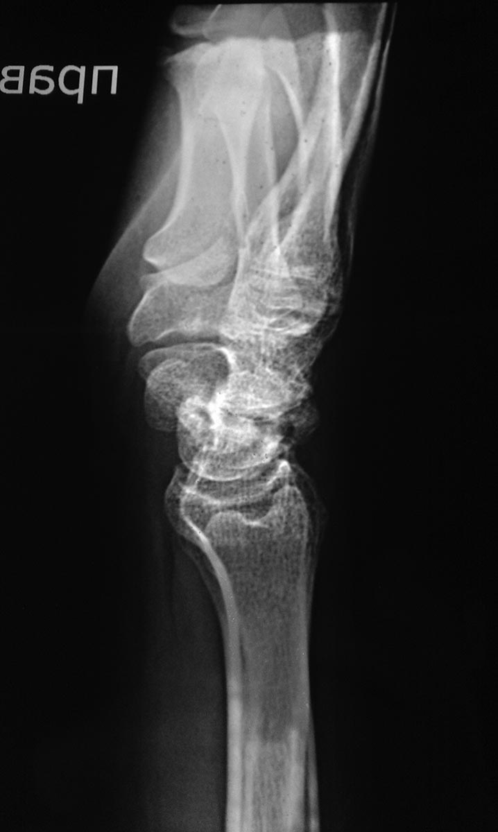
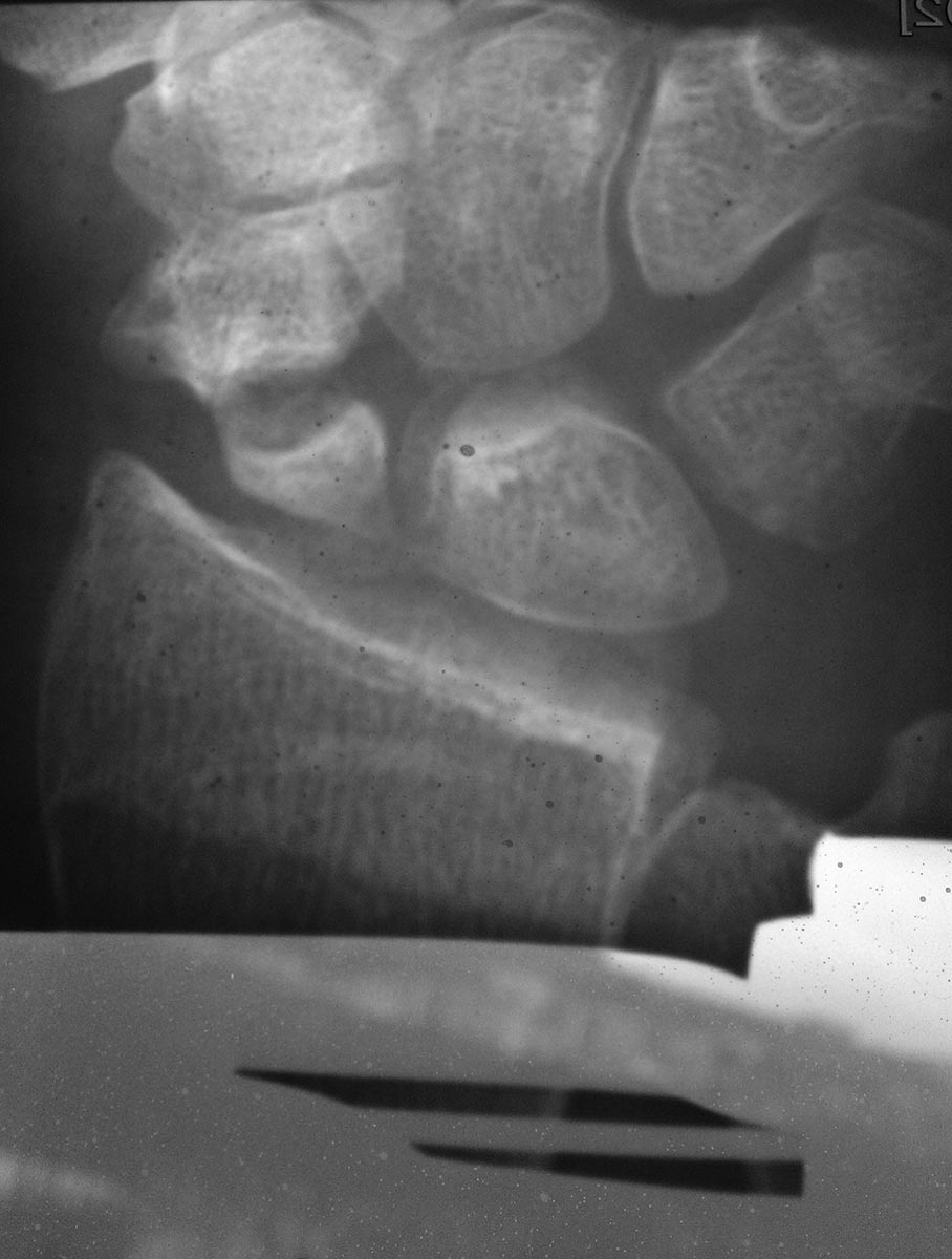
[Ortho] Перелом (ложный сустав?) ладьедидной кости правой кисти

Андрей Дремин orthoforum на weborto.net
Вс Мар 20 19:37:58 YEKT 2016


Остальные рентгенограммы сразу не загрузились, попробую ещё раз. А 
негатоскопа у нас в ординаторской к большому сожалению нет, поэтому 
приходится довольствоваться естественным светом.
Снимок от 18.03.16 после закрытой репозиции на аппарате Илизарова.
Андрей Дремин


----------- следущая часть -----------
Вложение не в текстовом формате было извлечено…
Имя     : IMAG1318.jpg
Тип     : image/jpeg
Размер  : 68657 байтов
Описание: отсутствует
Url     : http://weborto.net:8080/pipermail/ortho/attachments/20160320/85c13870/attachment-0003.jpg 
----------- следущая часть -----------
Вложение не в текстовом формате было извлечено…
Имя     : IMAG1319.jpg
Тип     : image/jpeg
Размер  : 112746 байтов
Описание: отсутствует
Url     : http://weborto.net:8080/pipermail/ortho/attachments/20160320/85c13870/attachment-0004.jpg 
----------- следущая часть -----------
Вложение не в текстовом формате было извлечено…
Имя     : IMAG1320.jpg
Тип     : image/jpeg
Размер  : 83187 байтов
Описание: отсутствует
Url     : http://weborto.net:8080/pipermail/ortho/attachments/20160320/85c13870/attachment-0005.jpg 


Подробная информация о списке рассылки Ortho