[Ortho] сложный перелом плеча - перелом плеча после неправильно сросшегося перелома

роман orthoforum на weborto.net
Вт Мар 22 16:35:42 YEKT 2016


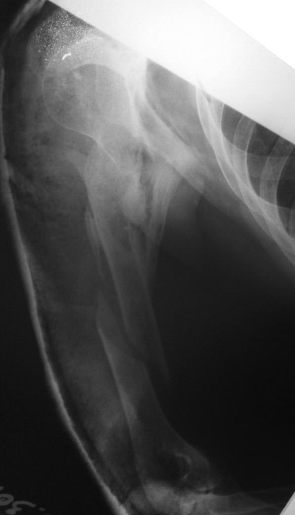
Больной в 2014 году находился на лечении в одной из Московских 
клиник.Диагноз:  ТСТ.Перелом черепа Ушиб головного мозга. Диффузное 
аксональное повреждение.   Длительное время находился на ИВЛ. 
Фрагментарный перелом плеча - консервативное лечение. Перелом голени - 
остеосинтез АНФ.
На данный момент больной лежит в кровати. Речь понимает, отвечает 
односложно.  Самостоятельно мог поворачиваться в пределах кровати. 
Поднимает нижние  конечности , сгибание в коленных суставах и суставах 
стоп отсутствуют. При выполнении ЛФК - получен винтообразный перелом 
плечевой кости.
   У коллег прошу совета: есть мысль попробовать   выполнить 
корригирующую остеотомию на уровне в\3 плечевой кости с последующим 
остеосинтезом переломов длинным гвоздем. Или выполнить остеосинтез 
ретроградным штифтом для дальнейшей возможности корригирующей операции, 
  Т.к опыта таких операций нет.
роман


----------- следущая часть -----------
Вложение не в текстовом формате было извлечено…
Имя     : IMG_20160322_132655_HDR.jpg
Тип     : image/jpeg
Размер  : 43717 байтов
Описание: отсутствует
Url     : http://weborto.net:8080/pipermail/ortho/attachments/20160322/11ba32a7/attachment-0001.jpg 


Подробная информация о списке рассылки Ortho