[Ortho] сложный перелом плеча - перелом плеча после неправильно сросшегося перелома

роман orthoforum на weborto.net
Вт Мар 22 17:17:18 YEKT 2016


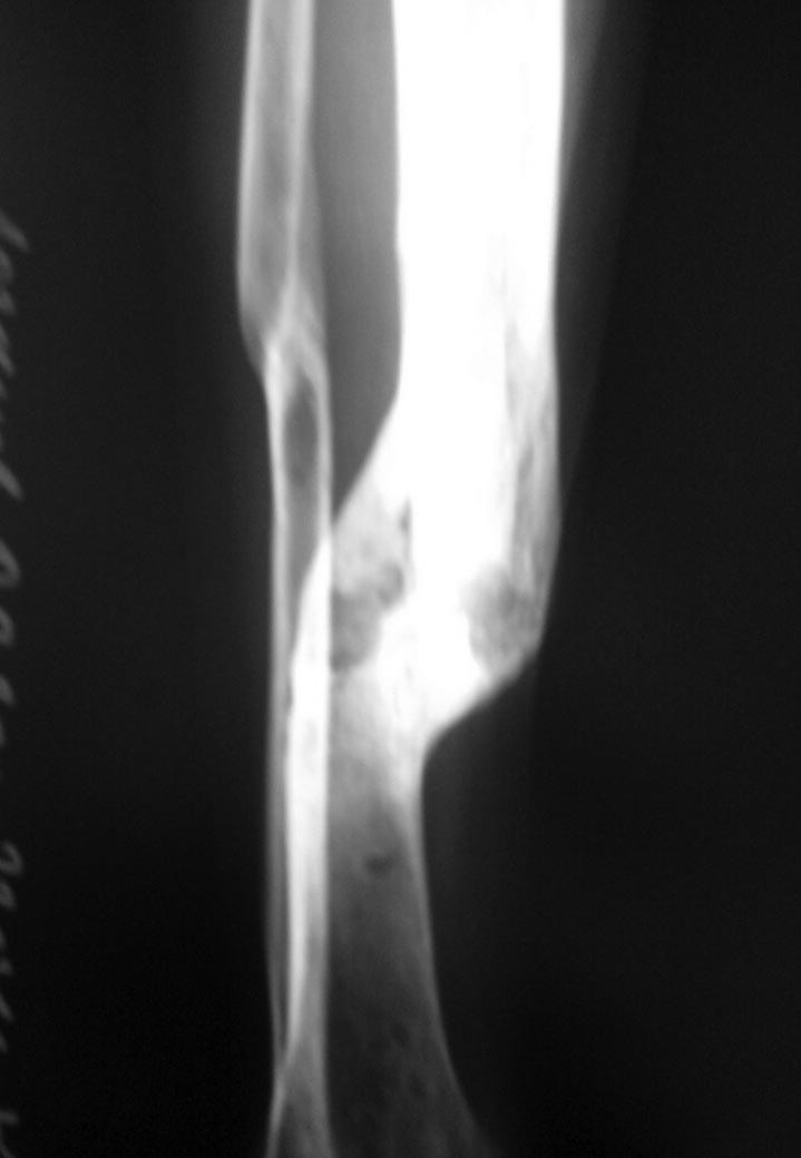
добавлю снимки голени
роман

----------- следущая часть -----------
Вложение не в текстовом формате было извлечено…
Имя     : IMG_20160322_132540_HDR (1).jpg
Тип     : image/jpeg
Размер  : 40502 байтов
Описание: отсутствует
Url     : http://weborto.net:8080/pipermail/ortho/attachments/20160322/fccbe252/attachment-0001.jpg 


Подробная информация о списке рассылки Ortho