[Ortho] Перелом вертлужной впадины.

Марат Кадиев orthoforum на weborto.net
Пн Мар 28 14:47:00 YEKST 2016


Уважаемые коллеги, помогите определиться с дальнейшей тактикой лечения

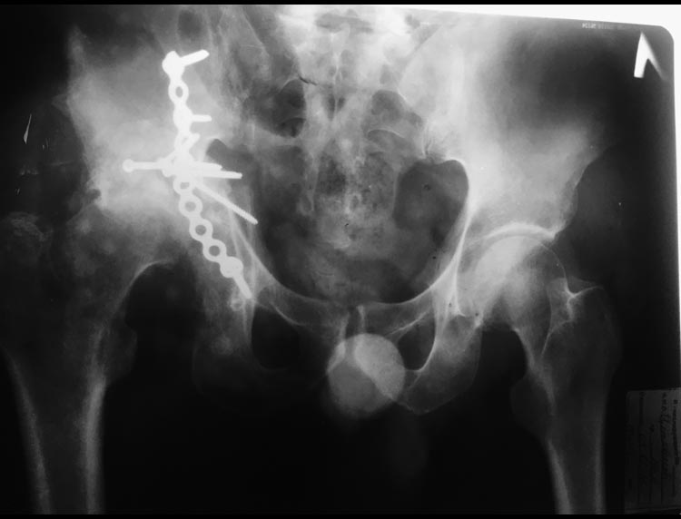
Из анамнеза: травму пациент получил в результате ДТП 12 месяцев назад. 
Сочетанная травма ЗЧМТ. Сотрясение головного мозга. Трансвертлужный 
перелом. Центральный вывих бедренной кости (первоначальные снимки 
предоставить не могу).  2 месяца лечился методом скелетного вытяжения.

Через 4 месяца после травмы поступил в наше отделение. Пациенту 
выполнена операция :  реконструкция вертлужной впадины с костной 
аутопластикой с гребня подвздошной кости (дефект заднего края с полным 
лизисом костных  отломков). Фиксация пластиной Матта. На сегодняшний 
день (через 7 месяцев после реконструкции впадины) отмечается лизис 
головки бедренной кости и укорочение абсолютной длины правой нижней 
конечности на 5 см. Есть сомнения на счёт сращения аутокости. Как быть в 
данной ситуации ? Спасибо
Марат Кадиев
ГБУ " Городская Клиническая Больница 1" отделение сочетанной травмы г. 
Махачкала


----------- следущая часть -----------
Вложение не в текстовом формате было извлечено…
Имя     : image.jpg
Тип     : image/jpeg
Размер  : 51542 байтов
Описание: отсутствует
Url     : http://weborto.net:8080/pipermail/ortho/attachments/20160328/81363390/attachment-0001.jpg 


Подробная информация о списке рассылки Ortho