[Ortho] перелом типа "Пилон".

роман orthoforum на weborto.net
Ср Мар 30 16:04:49 YEKST 2016


Уважаемые коллеги хотелось бы обсудить...

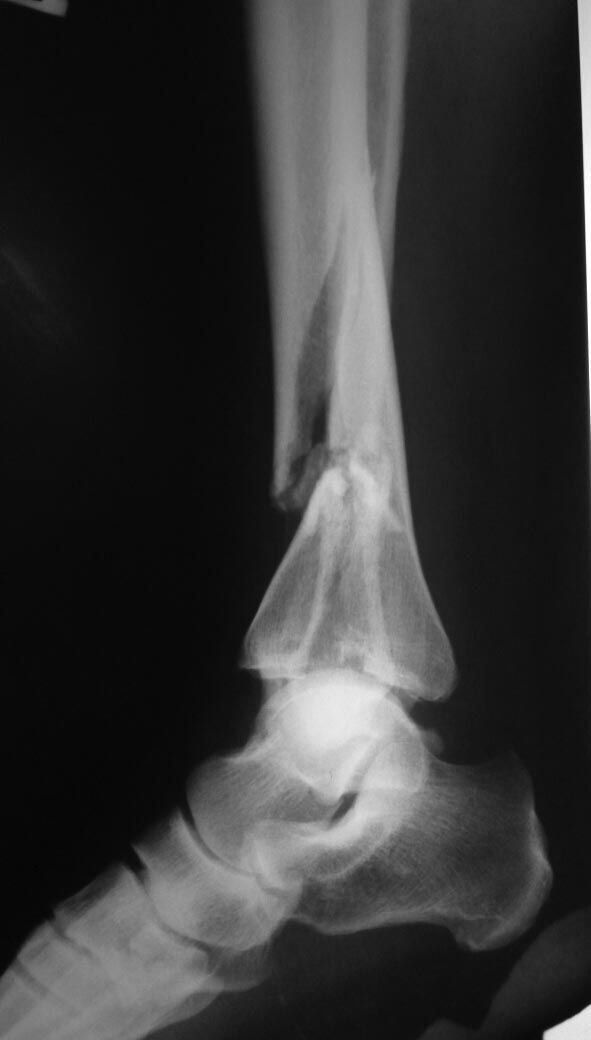
Пациентка 54 лет, упала со стула. Имеет место умеренный отек левой 
голени, кожные покровы не пострадали. Склоняюсь к межотломковой 
компрессии дистального фрагмента винтами и медиальной пластине с угловой 
стабильностью. Второй вопрос об остеосинтезе малоберцовой
кости. Всем участникам спасибо.
роман



----------- следущая часть -----------
Вложение не в текстовом формате было извлечено…
Имя     : IMG_20160330_091441.jpg
Тип     : image/jpeg
Размер  : 46863 байтов
Описание: отсутствует
Url     : http://weborto.net:8080/pipermail/ortho/attachments/20160330/8434153c/attachment-0001.jpg 


Подробная информация о списке рассылки Ortho