[Ortho] ?

orthoforum weborto.net
6 14:48:08 YEKST 2016


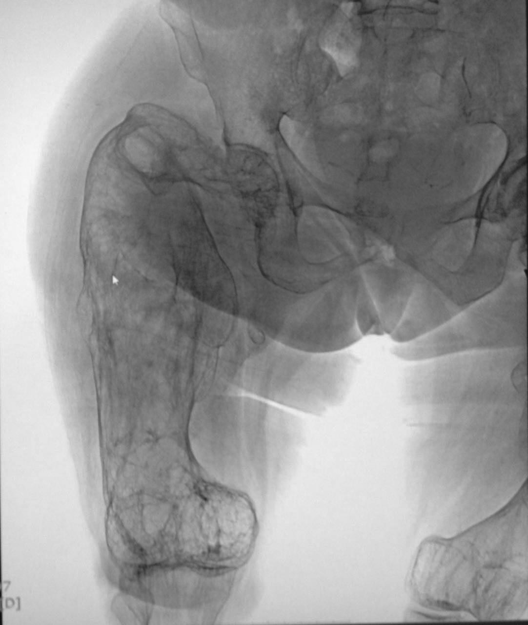
Пациентка Н. 1940 года рождения поступила в стационар по экстренным 
показаниям с предварительным диагнозом: Закрытый перелом шейки правой 
бедренной кости на фоне выраженного дегенеративно-дистрофического 
изменения правой бедренной кости. Выраженный болевой синдром. 
Стенокардия напряжения ФК 2. Гипертоническая болезнь 3 ст.,
риск 4. ХСН 1. Со слов упала с высоты своего роста за 2 дня до поступления.

Из анамнеза: в детстве была обычным ребенком, развитие по возрасту. 
Работала полировщицей на заводе, работа связана с вибрацией. Со слов 
пациентки появились боли области бедер и ТБС с 1984г, далее 
присоединились ограничения в движениях тазобедренных суставах. в 2006, 
2007, 2009гг патологические переломы бедренных костей на уровнях с/3 и
шейки. Перенесенные заболевания: гипертиреоз.

Уважаемы коллеги, помогите определиться сопутствующей патологией. С 
выбором тактики дальнейшего лечения.
На данный момент придерживаемся консервативного метода лечения.
Рифат Фирдинантович
ГАУЗ ГКБ№7 г.Казань


-----------   -----------
Вложение не в текстовом формате было извлечено…
Имя     : 20160505232158 (3).jpg
Тип     : image/jpeg
Размер  : 90717 байтов
Описание: отсутствует
Url     : http://weborto.net:8080/pipermail/ortho/attachments/20160506/c794bec9/attachment-0001.jpg 


Ortho