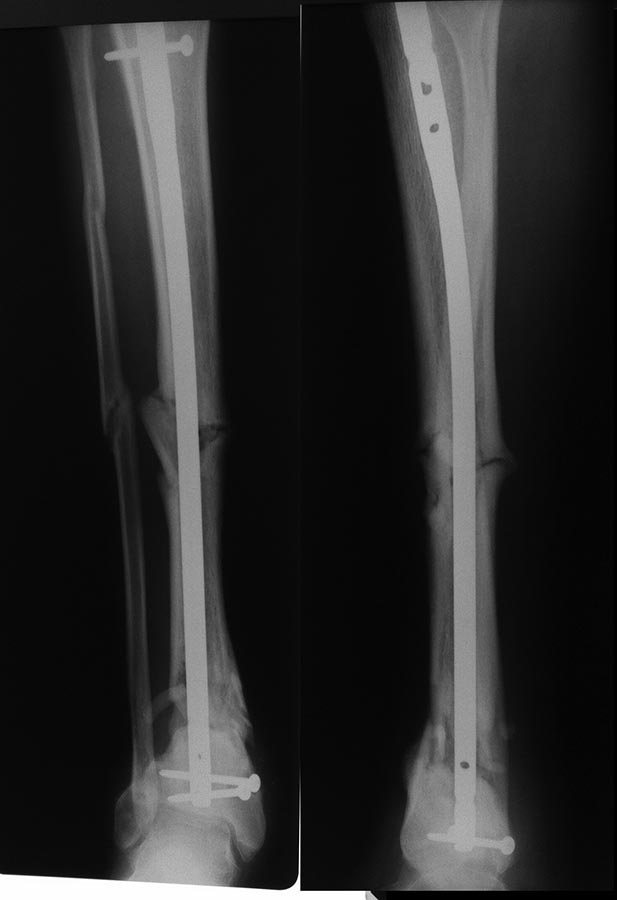
[Ortho] Сегментарный перелом голени в условиях БИОС.

Молодой специалист orthoforum на weborto.net
Чт Май 26 00:06:32 YEKST 2016


Снимки от мая 2016
Молодой специалист

----------- следущая часть -----------
Вложение не в текстовом формате было извлечено…
Имя     : image3.jpg
Тип     : image/jpeg
Размер  : 48262 байтов
Описание: отсутствует
Url     : http://weborto.net:8080/pipermail/ortho/attachments/20160525/21897852/attachment-0001.jpg 


Подробная информация о списке рассылки Ortho