[Ortho] Удаление стержня

Александр orthoforum на weborto.net
Вт Сен 6 16:04:34 YEKST 2016


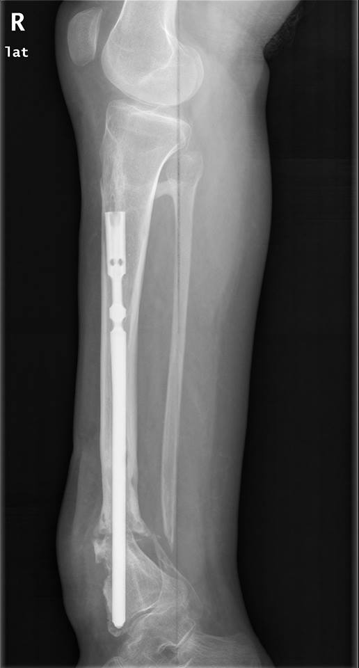
Уважаемые коллеги, Есть девушка с таким вот гвоздиком. В плане - 
удаление и реостеосинтез.
Вопрос - как минимально инвазивно удалить это чудо? Понимаю, что ранее 
вопрос поднимался, но тут, мне кажется, случай не стандартный. Спасибо.
Александр


----------- следущая часть -----------
Вложение не в текстовом формате было извлечено…
Имя     : 2.jpg
Тип     : image/jpeg
Размер  : 28718 байтов
Описание: отсутствует
Url     : http://weborto.net:8080/pipermail/ortho/attachments/20160906/6254426e/attachment-0002.jpg 
----------- следущая часть -----------
Вложение не в текстовом формате было извлечено…
Имя     : 14225346_329335627411899_7736379560585906614_n.jpg
Тип     : image/jpeg
Размер  : 37227 байтов
Описание: отсутствует
Url     : http://weborto.net:8080/pipermail/ortho/attachments/20160906/6254426e/attachment-0003.jpg 


Подробная информация о списке рассылки Ortho