[Ortho] Остеомиелит костей стопы

Николай orthoforum на weborto.net
Вс Сен 18 18:47:38 YEKST 2016


Доброго времени суток уважаемые коллеги! Прошу разобрать клинический 
случай и в итоге возможно помочь разобраться и определиться в тактике 
лечения окончательно.	
	
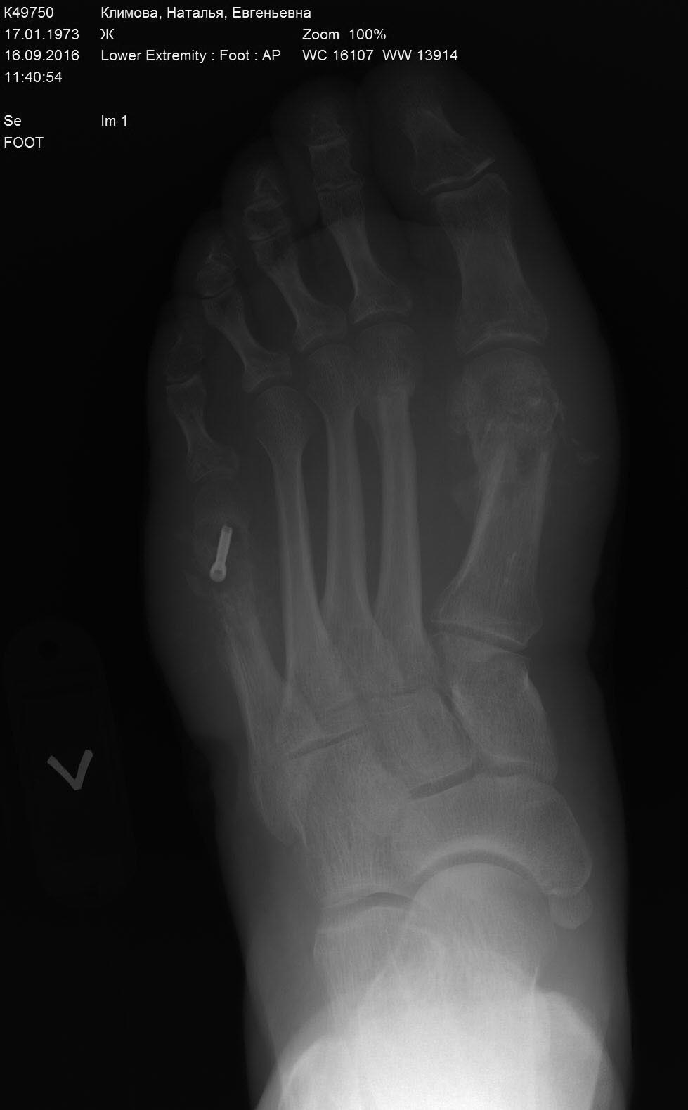
Пациентка 40 лет. Оперирована в июне 2016г- реконструктивная операция на 
1-й плюсневой кости левой стопы по поводу вальгусной деформации 1-го 
пальца и на 5-й плюсневой по поводу деформации Тейлора. В стационаре 
после операции провела 5 дней, выписана в удовлетворительном состоянии 
со спокойными п/о ранами. Через 6 недель у пациентки в области п/о рубца 
в проекции 1-й плюсневой кости открывается свищ. Пациентка амбулаторно 
перевязывается.
br>Через 8 недель на Р-контроле выявляется миграция винта в 1-й 
плюсневой кости, который амбулаторно удален. Пациентка в этот момент 
жалуется только на отечность переднего отдела стопы и отделяемого свища. 
Лихорадку пациентка отрицает. В крови С-реактивный белок в норме, 
лейкоцитарная формула тоже в пределах нормы. br>Через 10 недель 
пациентка приносит Р-контроль где имеются отчетливые признаки резорбции 
костной ткани в 1-й и 5-й плюсневых костях. br>Пациентка направлена на 
оперативное лечение. 3 дня назад выполнена операция- секвестрэктомия 1-й 
и 5-й плюсневой кости и установлена вакуум-система. В качестве 
иммобилизации установлена гипсовая иммобилизация. На завтра планирую под 
наркозом снова произвести промывание ран с заменой полиуретановых губок 
и продолжить вакуум терапию. После вакуума планирую аппарат внеш-й 
фик-ции и открыто вести раны. Это мой первый опыт в лечении остеомиелита 
на стопе!br>br>У кого какое мнение по этому клиническому случаю, кто 
имел опыт лечения подобного? Прошу высказаться, посоветовать:))! Заранее 
спасибо!!!

Николай

Новое сообщение находится по адресу
http://weborto.net/forum/1474200381


----------- следущая часть -----------
Вложение не в текстовом формате было извлечено…
Имя     : лое2.JPG
Тип     : image/jpeg
Размер  : 82294 байтов
Описание: отсутствует
Url     : http://weborto.net:8080/pipermail/ortho/attachments/20160918/58aa8245/attachment-0001.jpe 
----------- следущая часть -----------
Вложение не в текстовом формате было извлечено…
Имя     : лое4.JPG
Тип     : image/jpeg
Размер  : 68598 байтов
Описание: отсутствует
Url     : http://weborto.net:8080/pipermail/ortho/attachments/20160918/58aa8245/attachment-0001.jpeg 


Подробная информация о списке рассылки Ortho